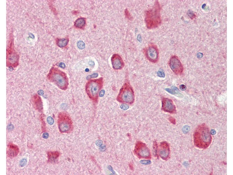
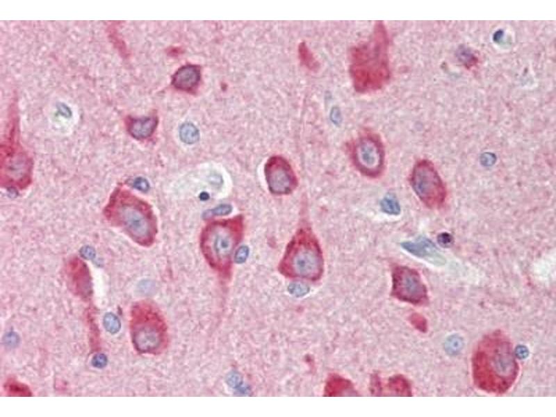
LC3B anticorps (AA 100-125)
Aperçu rapide pour LC3B anticorps (AA 100-125) (ABIN1804790)
Antigène
Voir toutes LC3B (MAP1LC3B) AnticorpsReactivité
Hôte
Clonalité
Conjugué
Application
-
-
Épitope
- AA 100-125
-
Specificité
- This Cleaved-APG8a/b antibody is generated from rabbits immunized with a KLH conjugated synthetic peptide between 100-125 amino acids from human Cleaved-APG8a/b.
-
Purification
- Protein A purified
-
-
-
-
Indications d'application
- Approved: IF (1:100), IHC, IHC-P (1:50 - 1:100), WB (1:1000)
-
Commentaires
-
Target Species of Antibody: Human
-
Restrictions
- For Research Use only
-
-
-
Format
- Liquid
-
Concentration
- Lot specific
-
Buffer
- PBS, 0.09 % sodium azide
-
Agent conservateur
- Sodium azide
-
Précaution d'utilisation
- This product contains Sodium azide: a POISONOUS AND HAZARDOUS SUBSTANCE which should be handled by trained staff only.
-
Stock
- 4 °C,-20 °C
-
Stockage commentaire
- Maintain refrigerated at 2-8°C for up to 6 months. For long term storage store at -20°C.
-
Date de péremption
- 6 months
-
-
- LC3B (MAP1LC3B) (Microtubule-Associated Protein 1 Light Chain 3 beta (MAP1LC3B))
-
Autre désignation
- MAP1LC3B / LC3B
-
Sujet
-
Name/Gene ID: MAP1LC3B
Synonyms: MAP1LC3B, ATG8F, LC3B, MAP1A/1BLC3, MAP1A/MAP1B LC3 B, MAP1A/MAP1B light chain 3 B, MAP1ALC3, MAP1LC3B-a -
ID gène
- 81631
-
UniProt
- Q9GZQ8
-
Pathways
- Autophagy
Antigène
-