Tel:
+49 (0)241 95 163 153
Fax:
+49 (0)241 95 163 155
E-Mail:
orders@anticorps-enligne.fr

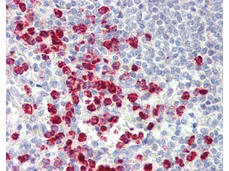
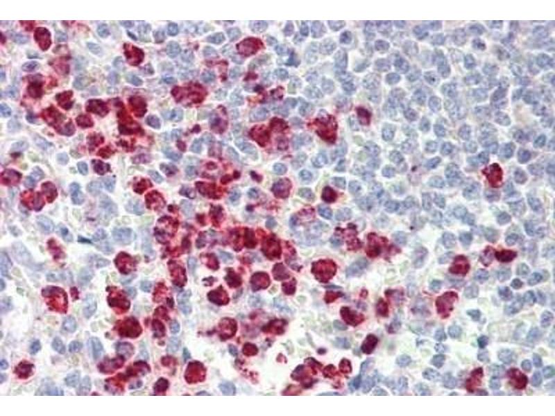
ORMDL3 anticorps (AA 53-81)

Cet anticorps Lapin Polyclonal détecte spécifiquement ORMDL3 dans WB, IHC et IHC (p). Il présente une réactivité avec des échantillons de Humain et Souris.
N° du produit ABIN1804792
610,95 €
Plus frais de livraison 40,00 € et TVA
200 μL
Destination: France
Envoi sous 15 à 20 jours ouvrables

Aperçu rapide pour ORMDL3 anticorps (AA 53-81) (ABIN1804792)

Antigène

Voir toutes ORMDL3 Anticorps
ORMDL3 (ORM1-Like 3 (ORMDL3))

Reactivité

  • 28
  • 14
  • 3
  • 2
  • 2
  • 2
  • 2
  • 2
  • 2
  • 2
  • 1
  • 1
  • 1
  • 1
  • 1
Humain, Souris

Hôte

  • 28
Lapin

Clonalité

  • 28
Polyclonal

Conjugué

  • 12
  • 3
  • 2
  • 2
  • 2
  • 1
  • 1
  • 1
  • 1
  • 1
  • 1
  • 1
Cet anticorp ORMDL3 est non-conjugé

Application

  • 16
  • 13
  • 1
  • 1
  • 1
  • 1
Western Blotting (WB), Immunohistochemistry (IHC), Immunohistochemistry (Paraffin-embedded Sections) (IHC (p))
  • Épitope

    • 7
    • 5
    • 4
    • 2
    • 2
    • 2
    • 1
    • 1
    AA 53-81

    Specificité

    This ORMDL3 antibody is generated from rabbits immunized with a KLH conjugated synthetic peptide between 53-81 amino acids from the Central region of human ORMDL3. The immunogenic peptide shares 100 % homology with family members ORMDL1 and ORMDL2. Cross reactivity with these family members has not been tested.

    Purification

    Protein A purified

    Immunogène

    Peptide located between amino acids 53-81 of human ORMDL3

    Type of Immunogen: Synthetic peptide - KLH conjugated
  • Indications d'application

    Approved: IHC, IHC-P (1:100), WB (1:1000)

    Commentaires

    Target Species of Antibody: Human

    Restrictions

    For Research Use only
  • Format

    Liquid

    Concentration

    Lot specific

    Buffer

    PBS, 0.09 % sodium azide

    Agent conservateur

    Sodium azide

    Précaution d'utilisation

    This product contains Sodium azide: a POISONOUS AND HAZARDOUS SUBSTANCE which should be handled by trained staff only.

    Stock

    4 °C,-20 °C

    Stockage commentaire

    Maintain refrigerated at 2-8°C for up to 6 months. For long term storage store at -20°C.

    Date de péremption

    6 months
  • Antigène

    ORMDL3 (ORM1-Like 3 (ORMDL3))

    Autre désignation

    ORMDL3

    Sujet

    Name/Gene ID: ORMDL3

    Synonyms: ORMDL3, ORM1-like 3 (S. cerevisiae), ORM1-like protein 3, ORM1 (S. cerevisiae)-like 3

    ID gène

    94103

    UniProt

    Q8N138
Vous êtes ici:
Chat with us!