Tel:
+49 (0)241 95 163 153
Fax:
+49 (0)241 95 163 155
E-Mail:
orders@anticorps-enligne.fr

WRNIP1 anticorps (C-Term)

L’anticorps anti-WRNIP1 Polyclonal Chèvre est utilisé pour la détection de WRNIP1 dans des échantillons de Humain. Il a été validé pour WB, ELISA et IHC.
N° du produit ABIN184613
488,25 €
Plus frais de livraison 40,00 € et TVA
100 μg
Destination: France
Envoi sous 5 à 8 jours ouvrables

Aperçu rapide pour WRNIP1 anticorps (C-Term) (ABIN184613)

Antigène

Voir toutes WRNIP1 Anticorps
WRNIP1 (Werner Helicase Interacting Protein 1 (WRNIP1))

Reactivité

  • 21
  • 8
  • 7
  • 2
  • 2
  • 1
  • 1
  • 1
  • 1
  • 1
  • 1
  • 1
Humain

Hôte

  • 21
Chèvre

Clonalité

  • 21
Polyclonal

Conjugué

  • 16
  • 1
  • 1
  • 1
  • 1
  • 1
Cet anticorp WRNIP1 est non-conjugé

Application

  • 19
  • 10
  • 5
  • 2
  • 2
  • 1
  • 1
  • 1
Western Blotting (WB), ELISA, Immunohistochemistry (IHC)

Classe de qualité

Verified
  • Épitope

    • 9
    • 4
    • 3
    • 1
    • 1
    • 1
    • 1
    C-Term

    Fonction

    WHIP / WRNIP1

    Séquence

    EELRGVDFFK QRRC

    Specificité

    This antibody is expected to recognise isoform 1 (NP_064520.2) and isoform 2 (NP_569079.1).

     Réactivité croisée

    Boeuf (Vache), Chien, Humain, Souris, Rat

    Purification

    Purified from goat serum by ammonium sulphate precipitation followed by antigen affinity chromatography using the immunizing peptide.

    Immunogène

    Peptide with sequence EELRGVDFFKQRRC, from the C Terminus of the protein sequence according to NP_064520.2, NP_569079.1.

    Isotype

    IgG
  • Indications d'application

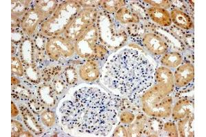
    Immunohistochemistry: In paraffin embedded Human Kidney shows nuclear staining, stronger in DCT compared to PCT. Recommended concentration, 4-6 μg/mL.

    Western Blot: Approx 90 kDa band observed in lysates of cell line Jurkat (calculated MW of 72.1 kDa according to NP_064520.2). The observed molecular weight corresponds to earlier findings in literature with different antibodies (Bish RA, Myers MP., J Biol

    Peptide ELISA: antibody detection limit dilution 1:32000.

    Restrictions

    For Research Use only
  • Format

    Liquid

    Concentration

    0.5 mg/mL

    Buffer

    Supplied at 0.5 mg/mL in Tris saline, 0.02 % sodium azide, pH 7.3 with 0.5 % bovine serum albumin.

    Agent conservateur

    Sodium azide

    Précaution d'utilisation

    This product contains Sodium azide: a POISONOUS AND HAZARDOUS SUBSTANCE which should be handled by trained staff only.

    Conseil sur la manipulation

    Minimize freezing and thawing.

    Stock

    -20 °C

    Stockage commentaire

    Aliquot and store at -20°C, with minimal freeze/thawing. A working aliquot may be refrigerated at 4°C for a few weeks and still remain viable.
  • Antigène

    WRNIP1 (Werner Helicase Interacting Protein 1 (WRNIP1))

    Autre désignation

    WRNIP1

    Sujet

    WHIP, Werner helicase interacting protein, FLJ22526, putative helicase RUVBL, Werner helicase interacting protein 1, RP11-420G6.2, bA420G6.2,

    ID gène

    56897

    NCBI Accession

    NP_064520, NP_569079
Vous êtes ici:
Chat with us!