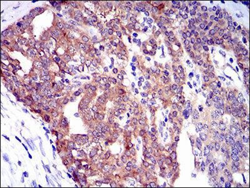
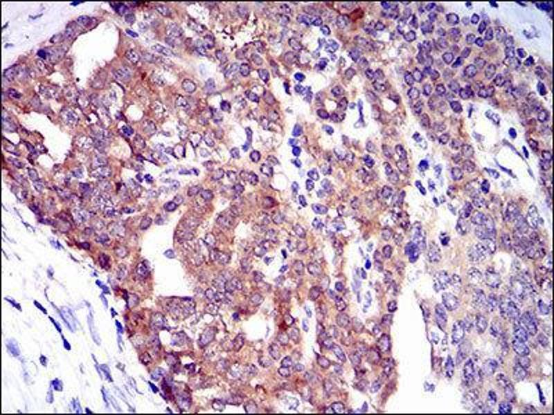
TWF1 anticorps (AA 335-384)
Aperçu rapide pour TWF1 anticorps (AA 335-384) (ABIN1846307)
Antigène
Voir toutes TWF1 AnticorpsReactivité
Hôte
Clonalité
Conjugué
Application
-
-
Épitope
- AA 335-384
-
Purification
- Purified antibody
-
Immunogène
- Purified recombinant fragment of human TWF1 (AA: 335-384) expressed in E. Coli.
-
Isotype
- IgG1
-
-
-
-
Indications d'application
- Optimal working dilution should be determined by the investigator.
-
Restrictions
- For Research Use only
-
-
-
Format
- Liquid
-
Concentration
- 1.0 mg/mL
-
Buffer
- PBS with 0.05 % sodium azide and 0.5 % protein stabilizer.
-
Agent conservateur
- Sodium azide
-
Précaution d'utilisation
- This product contains Sodium azide: a POISONOUS AND HAZARDOUS SUBSTANCE which should be handled by trained staff only.
-
Stock
- -20 °C
-
Stockage commentaire
- Aliquot and store at -20 °C. Avoid repeated freeze/thaw cycles.
-
-
- TWF1 (Twinfilin, Actin-Binding Protein 1 (TWF1))
-
Autre désignation
- TWF1
-
Sujet
- This gene encodes twinfilin, an actin monomer-binding protein conserved from yeast to mammals. Studies of the mouse counterpart suggest that this protein may be an actin monomer-binding protein, and its localization to cortical G-actin-rich structures may be regulated by the small GTPase RAC1.
-
Poids moléculaire
- 40.3 kDa
-
ID gène
- 5756
-
UniProt
- Q12792
-
Pathways
- Regulation of Actin Filament Polymerization, Maintenance of Protein Location
Antigène
-