Tel:
+49 (0)241 95 163 153
Fax:
+49 (0)241 95 163 155
E-Mail:
orders@anticorps-enligne.fr

DAPK2 anticorps (C-Term)

L’anticorps anti-DAPK2 Polyclonal Chèvre est utilisé pour la détection de DAPK2 dans des échantillons de Humain et Souris. Il a été validé pour WB, ELISA et IHC.
N° du produit ABIN184667
488,25 €
Plus frais de livraison 40,00 € et TVA
100 μg
Destination: France
Envoi sous 5 à 8 jours ouvrables

Aperçu rapide pour DAPK2 anticorps (C-Term) (ABIN184667)

Antigène

Voir toutes DAPK2 Anticorps
DAPK2 (Death-Associated Protein Kinase 2 (DAPK2))

Reactivité

  • 64
  • 32
  • 14
  • 1
  • 1
Humain, Souris

Hôte

  • 57
  • 7
Chèvre

Clonalité

  • 56
  • 8
Polyclonal

Conjugué

  • 36
  • 5
  • 4
  • 4
  • 2
  • 2
  • 1
  • 1
  • 1
  • 1
  • 1
  • 1
  • 1
  • 1
  • 1
  • 1
  • 1
Cet anticorp DAPK2 est non-conjugé

Application

  • 51
  • 33
  • 21
  • 14
  • 13
  • 13
  • 12
  • 7
  • 4
  • 3
  • 2
  • 2
  • 1
Western Blotting (WB), ELISA, Immunohistochemistry (IHC)

Classe de qualité

Verified
  • Épitope

    • 18
    • 7
    • 6
    • 6
    • 5
    • 4
    • 2
    • 2
    • 2
    • 1
    • 1
    • 1
    • 1
    • 1
    • 1
    • 1
    • 1
    C-Term

    Fonction

    DAPK2

    Séquence

    KALHPRRRSS TS

     Réactivité croisée

    Chien, Humain, Souris, Porc, Rat

    Purification

    Purified from goat serum by ammonium sulphate precipitation followed by antigen affinity chromatography using the immunizing peptide.

    Immunogène

    Peptide with sequence C-KALHPRRRSSTS, from the C Terminus of the protein sequence according to NP_055141.2.

    Isotype

    IgG
  • Indications d'application

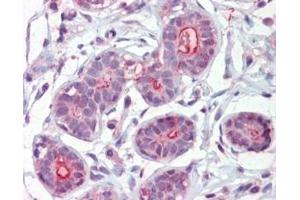
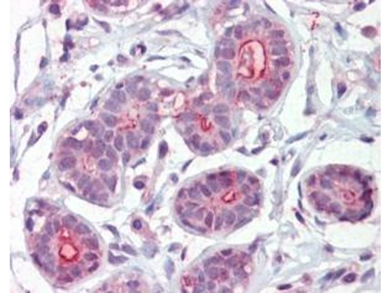
    Immunohistochemistry: Paraffin embedded Human Breast and Thyroid. Recommended concentration: 2.5 μg/mL.

    Western Blot: Approx 40-45 kDa bands seen in mouse brain extracts. Recommended for use at 1-3 μg/mL. Primary incubation was for 1 hour.

    Peptide ELISA: antibody detection limit dilution 1:32000.

    Restrictions

    For Research Use only
  • Format

    Liquid

    Concentration

    0.5 mg/mL

    Buffer

    Supplied at 0.5 mg/mL in Tris saline, 0.02 % sodium azide, pH 7.3 with 0.5 % bovine serum albumin.

    Agent conservateur

    Sodium azide

    Précaution d'utilisation

    This product contains Sodium azide: a POISONOUS AND HAZARDOUS SUBSTANCE which should be handled by trained staff only.

    Conseil sur la manipulation

    Minimize freezing and thawing.

    Stock

    -20 °C

    Stockage commentaire

    Aliquot and store at -20°C, with minimal freeze/thawing. A working aliquot may be refrigerated at 4°C for a few weeks and still remain viable.
  • Antigène

    DAPK2 (Death-Associated Protein Kinase 2 (DAPK2))

    Autre désignation

    DAPK2

    Sujet

    DAPK2, death-associated protein kinase 2, DRP-1, DRP1, MGC119312, DAP kinase 2, DAP-kinase-related protein 1, OTTHUMP00000163874, death-associated kinase 2

    ID gène

    23604

    NCBI Accession

    NP_055141
Vous êtes ici:
Chat with us!