Tel:
+49 (0)241 95 163 153
Fax:
+49 (0)241 95 163 155
E-Mail:
orders@anticorps-enligne.fr

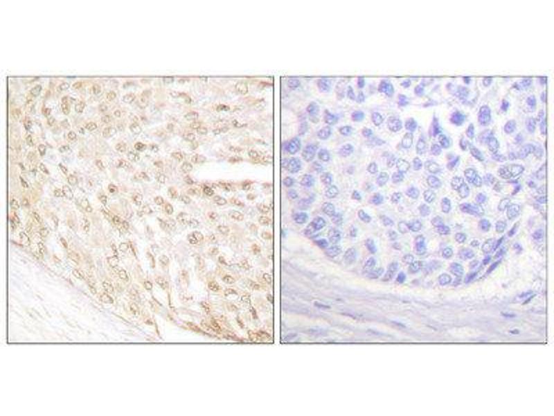
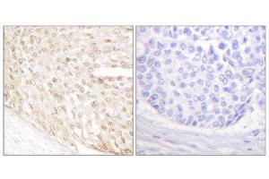
P18 INK anticorps (C-Term)

Cet anticorps anti-P18 INK Polyclonal Lapin (ABIN1848714) détecte spécifiquement P18 INK dans IHC, ELISA et WB. L’anticorps est réactif avec des échantillons de Humain et Souris.
N° du produit ABIN1848714
453,66 €
Plus frais de livraison 40,00 € et TVA
Destination: France
Envoi sous 7 à 13 jours ouvrables

Aperçu rapide pour P18 INK anticorps (C-Term) (ABIN1848714)

Antigène

P18 INK

Reactivité

  • 11
  • 10
  • 8
Humain, Souris

Hôte

  • 11
Lapin

Clonalité

  • 11
Polyclonal

Conjugué

  • 4
  • 1
  • 1
  • 1
  • 1
  • 1
  • 1
  • 1
Cet anticorp P18 INK est non-conjugé

Application

  • 4
  • 4
  • 4
  • 2
  • 2
Immunohistochemistry (IHC), ELISA, Western Blotting (WB)
  • Épitope

    C-Term

    Specificité

    Rabbit polyclonal antibody against p18 INK protein.

    Purification

    The antibody was affinity-purified from rabbit antiserum by affinity-chromatography using epitope-specific immunogen

    Immunogène

    The antiserum was produced against synthesized peptide derived from C-terminal of human p18 INK antibody.
  • Restrictions

    For Research Use only
  • Stock

    -20 °C

    Stockage commentaire

    Aliquot and store at -20 °C. Avoid repeated freeze/thaw cycles.
  • Antigène

    P18 INK

    UniProt

    P42773
Vous êtes ici:
Chat with us!