Tel:
+49 (0)241 95 163 153
Fax:
+49 (0)241 95 163 155
E-Mail:
orders@anticorps-enligne.fr

TRIM11 anticorps (C-Term)

L’anticorps anti-TRIM11 Polyclonal Chèvre est utilisé pour la détection de TRIM11 dans des échantillons de Humain. Il a été validé pour ELISA et IHC.
N° du produit ABIN184970
488,25 €
Plus frais de livraison 40,00 € et TVA
100 μg
Destination: France
Envoi sous 5 à 8 jours ouvrables

Aperçu rapide pour TRIM11 anticorps (C-Term) (ABIN184970)

Antigène

Voir toutes TRIM11 Anticorps
TRIM11 (Tripartite Motif Containing 11 (TRIM11))

Reactivité

  • 46
  • 20
  • 18
  • 2
  • 1
  • 1
  • 1
  • 1
Humain

Hôte

  • 45
  • 1
Chèvre

Clonalité

  • 46
Polyclonal

Conjugué

  • 17
  • 4
  • 3
  • 3
  • 1
  • 1
  • 1
  • 1
  • 1
  • 1
  • 1
  • 1
  • 1
  • 1
  • 1
  • 1
  • 1
  • 1
  • 1
  • 1
  • 1
  • 1
  • 1
Cet anticorp TRIM11 est non-conjugé

Application

  • 35
  • 16
  • 14
  • 13
  • 6
  • 1
  • 1
  • 1
ELISA, Immunohistochemistry (IHC)

Classe de qualité

Verified
  • Épitope

    • 8
    • 5
    • 4
    • 1
    • 1
    • 1
    • 1
    • 1
    • 1
    C-Term

    Fonction

    TRIM11

    Séquence

    CRPKGGSGDT LAPQ

     Réactivité croisée

    Humain

    Purification

    Purified from goat serum by ammonium sulphate precipitation followed by antigen affinity chromatography using the immunizing peptide.

    Immunogène

    Peptide with sequence CRPKGGSGDTLAPQ, from the C Terminus of the protein sequence according to NP_660215.1.

    Isotype

    IgG
  • Indications d'application

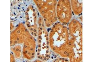
    Immunohistochemistry: In paraffin embedded Human Kidney shows cytoplasm staining preferentially in PCT over DCT. Recommended concentration, 4-6 μg/mL.

    Western Blot: Preliminary experiments in Human Heart, Kidney, Liver and Lung lysates gave no specific signal but low background (at antibody concentration up to 1 μg/mL).

    Peptide ELISA: antibody detection limit dilution 1:32000.

    Restrictions

    For Research Use only
  • Format

    Liquid

    Concentration

    0.5 mg/mL

    Buffer

    Supplied at 0.5 mg/mL in Tris saline, 0.02 % sodium azide, pH 7.3 with 0.5 % bovine serum albumin.

    Agent conservateur

    Sodium azide

    Précaution d'utilisation

    This product contains Sodium azide: a POISONOUS AND HAZARDOUS SUBSTANCE which should be handled by trained staff only.

    Conseil sur la manipulation

    Minimize freezing and thawing.

    Stock

    -20 °C

    Stockage commentaire

    Aliquot and store at -20°C, with minimal freeze/thawing. A working aliquot may be refrigerated at 4°C for a few weeks and still remain viable.
  • Antigène

    TRIM11 (Tripartite Motif Containing 11 (TRIM11))

    Autre désignation

    TRIM11

    Sujet

    TRIM11, BIA1, RNF92, tripartite motif-containing 11

    ID gène

    81559

    NCBI Accession

    NP_660215
Vous êtes ici:
Chat with us!