Tel:
+49 (0)241 95 163 153
Fax:
+49 (0)241 95 163 155
E-Mail:
orders@anticorps-enligne.fr

TRIM2 anticorps (C-Term)

Cet anticorps anti-TRIM2 Polyclonal Chèvre (ABIN184974) détecte spécifiquement TRIM2 dans WB, ELISA, FACS et IHC. L’anticorps est réactif avec des échantillons de Humain et Rat.
N° du produit ABIN184974
488,25 €
Plus frais de livraison 40,00 € et TVA
100 μg
Destination: France
Envoi sous 5 à 8 jours ouvrables

Aperçu rapide pour TRIM2 anticorps (C-Term) (ABIN184974)

Antigène

Voir toutes TRIM2 Anticorps
TRIM2 (Tripartite Motif Containing 2 (TRIM2))

Reactivité

  • 25
  • 4
  • 4
Humain, Rat

Hôte

  • 18
  • 7
  • 1
Chèvre

Clonalité

  • 19
  • 7
Polyclonal

Conjugué

  • 18
  • 2
  • 2
  • 2
  • 1
  • 1
Cet anticorp TRIM2 est non-conjugé

Application

  • 22
  • 15
  • 5
  • 3
  • 2
Western Blotting (WB), ELISA, Flow Cytometry (FACS), Immunohistochemistry (IHC)

Classe de qualité

Verified
  • Épitope

    • 8
    • 7
    • 4
    • 3
    • 3
    • 1
    • 1
    • 1
    • 1
    • 1
    C-Term

    Fonction

    TRIM2

    Séquence

    DSGNHCFKVY RYLQ

    Specificité

    Cross-reactivity with TRIM3 has been demonstrated in Mouse.

     Réactivité croisée

    Boeuf (Vache), Chien, Humain, Souris, Rat

    Purification

    Purified from goat serum by ammonium sulphate precipitation followed by antigen affinity chromatography using the immunizing peptide.

    Immunogène

    Peptide with sequence DSGNHCFKVYRYLQ, from the C Terminus of the protein sequence according to NP_056086.2, NP_001123539.1.

    Isotype

    IgG
  • Indications d'application

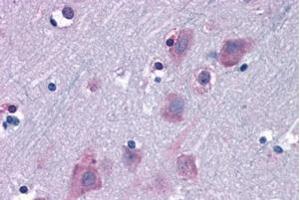
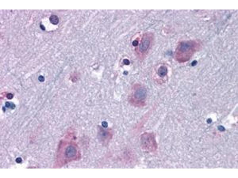
    Immunohistochemistry: In paraffin embedded Human Brain (Cortex) shows cytoplasm stainning in neuronal cell bodies. Recommended concentration: 6-12 μg/mL.

    Western Blot: Approx 75-85 kDa band observed in Rat Brain lysates (calculated MW of 83.3 according to Rat NP_001102022.1). An additional band of unknown identity was also consistently observed at 30 kDa. This band was successfully blocked by incubation wi

    Peptide ELISA: antibody detection limit dilution 1:16000.

    Commentaires

    Flow Cytometry: Flow cytometric analysis of Jurkat cells. Recommended concentration: 10ug/ml.

    Restrictions

    For Research Use only
  • Format

    Liquid

    Concentration

    0.5 mg/mL

    Buffer

    Supplied at 0.5 mg/mL in Tris saline, 0.02 % sodium azide, pH 7.3 with 0.5 % bovine serum albumin.

    Agent conservateur

    Sodium azide

    Précaution d'utilisation

    This product contains Sodium azide: a POISONOUS AND HAZARDOUS SUBSTANCE which should be handled by trained staff only.

    Conseil sur la manipulation

    Minimize freezing and thawing.

    Stock

    -20 °C

    Stockage commentaire

    Aliquot and store at -20°C, with minimal freeze/thawing. A working aliquot may be refrigerated at 4°C for a few weeks and still remain viable.
  • Antigène

    TRIM2 (Tripartite Motif Containing 2 (TRIM2))

    Autre désignation

    TRIM2

    Sujet

    TRIM2, tripartite motif-containing 2, KIAA0517, tripartite motif protein 2, tripartite motif protein TRIM2, RNF86, tripartite motif protein TRIM2

    ID gène

    23321, 80890

    NCBI Accession

    NP_056086, NP_001123539, NP_001337983, NP_001337984, NP_001337986
Vous êtes ici:
Chat with us!