Tel:
+49 (0)241 95 163 153
Fax:
+49 (0)241 95 163 155
E-Mail:
orders@anticorps-enligne.fr

PCGF2 anticorps (C-Term)

Cet anticorps Chèvre Polyclonal détecte spécifiquement PCGF2 dans WB et ELISA. Il présente une réactivité avec des échantillons de Humain.
N° du produit ABIN184999
488,25 €
Plus frais de livraison 40,00 € et TVA
100 μg
Destination: France
Envoi sous 5 à 8 jours ouvrables

Aperçu rapide pour PCGF2 anticorps (C-Term) (ABIN184999)

Antigène

Voir toutes PCGF2 Anticorps
PCGF2 (Polycomb Group Ring Finger 2 (PCGF2))

Reactivité

  • 37
  • 19
  • 15
Humain

Hôte

  • 35
  • 2
Chèvre

Clonalité

  • 35
  • 2
Polyclonal

Conjugué

  • 14
  • 4
  • 3
  • 3
  • 1
  • 1
  • 1
  • 1
  • 1
  • 1
  • 1
  • 1
  • 1
  • 1
  • 1
  • 1
  • 1
Cet anticorp PCGF2 est non-conjugé

Application

  • 32
  • 15
  • 13
  • 3
  • 1
  • 1
Western Blotting (WB), ELISA

Classe de qualité

Verified
  • Épitope

    • 15
    • 8
    • 5
    • 3
    • 2
    • 1
    • 1
    • 1
    • 1
    • 1
    • 1
    C-Term

    Fonction

    MEL18 / PCGF2

    Séquence

    KMTVNGAPVP PLT

     Réactivité croisée

    Boeuf (Vache), Chien, Humain

    Purification

    Purified from goat serum by ammonium sulphate precipitation followed by antigen affinity chromatography using the immunizing peptide.

    Immunogène

    Peptide with sequence C-KMTVNGAPVPPLT, from the C Terminus of the protein sequence according to NP_009075.1.

    Isotype

    IgG
  • Indications d'application

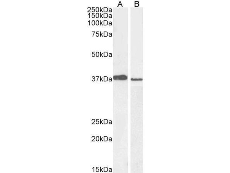
    Western Blot: Approx 37-38 kDa band observed in lysates of cell lines A549 and PD19 (calculated MW of 37.8 kDa according to NP_009075.1). Recommended concentration: 0.3-1 μg/mL. Primary incubation 1 hour at room temperature.

    Peptide ELISA: antibody detection limit dilution 1:16000.

    Restrictions

    For Research Use only
  • Format

    Liquid

    Concentration

    0.5 mg/mL

    Buffer

    Supplied at 0.5 mg/mL in Tris saline, 0.02 % sodium azide, pH 7.3 with 0.5 % bovine serum albumin.

    Agent conservateur

    Sodium azide

    Précaution d'utilisation

    This product contains Sodium azide: a POISONOUS AND HAZARDOUS SUBSTANCE which should be handled by trained staff only.

    Conseil sur la manipulation

    Minimize freezing and thawing.

    Stock

    -20 °C

    Stockage commentaire

    Aliquot and store at -20°C, with minimal freeze/thawing. A working aliquot may be refrigerated at 4°C for a few weeks and still remain viable.
  • Antigène

    PCGF2 (Polycomb Group Ring Finger 2 (PCGF2))

    Autre désignation

    PCGF2

    Sujet

    PCGF2, MEL-18, polycomb group ring finger 2, RNF110, ZNF144, ring finger protein 110, zinc finger protein 144, MGC10545

    ID gène

    7703

    NCBI Accession

    NP_009075

    Pathways

    Chromatin Binding
Vous êtes ici:
Chat with us!