Tel:
+49 (0)241 95 163 153
Fax:
+49 (0)241 95 163 155
E-Mail:
orders@anticorps-enligne.fr

CCDC102B anticorps (Internal Region)

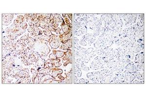
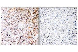
Cet anticorps Lapin Polyclonal détecte spécifiquement CCDC102B dans WB, IHC et ELISA. Il présente une réactivité avec des échantillons de Humain.
N° du produit ABIN1851142
453,66 €
Plus frais de livraison 40,00 € et TVA
Destination: France
Envoi sous 7 à 13 jours ouvrables

Aperçu rapide pour CCDC102B anticorps (Internal Region) (ABIN1851142)

Antigène

Voir toutes CCDC102B Anticorps
CCDC102B (Coiled-Coil Domain Containing 102B (CCDC102B))

Reactivité

  • 19
  • 3
  • 2
  • 2
  • 2
  • 2
  • 2
  • 2
  • 1
  • 1
  • 1
Humain

Hôte

  • 19
Lapin

Clonalité

  • 19
Polyclonal

Conjugué

  • 12
  • 1
  • 1
  • 1
  • 1
  • 1
  • 1
  • 1
Cet anticorp CCDC102B est non-conjugé

Application

  • 12
  • 7
  • 7
  • 1
  • 1
  • 1
Western Blotting (WB), Immunohistochemistry (IHC), ELISA
Vous êtes ici:
Chat with us!