Tel:
+49 (0)241 95 163 153
Fax:
+49 (0)241 95 163 155
E-Mail:
orders@anticorps-enligne.fr

Exportin 7 anticorps (C-Term)

Cet anticorps Chèvre Polyclonal détecte spécifiquement Exportin 7 dans WB, ELISA et IHC. Il présente une réactivité avec des échantillons de Humain.
N° du produit ABIN185164
488,25 €
Plus frais de livraison 40,00 € et TVA
100 μg
Destination: France
Envoi sous 5 à 8 jours ouvrables

Aperçu rapide pour Exportin 7 anticorps (C-Term) (ABIN185164)

Antigène

Voir toutes Exportin 7 (XPO7) Anticorps
Exportin 7 (XPO7)

Reactivité

  • 12
  • 8
  • 5
  • 2
  • 2
  • 2
  • 2
  • 2
  • 2
  • 1
  • 1
  • 1
  • 1
  • 1
  • 1
Humain

Hôte

  • 13
Chèvre

Clonalité

  • 13
Polyclonal

Conjugué

  • 13
Cet anticorp Exportin 7 est non-conjugé

Application

  • 12
  • 4
  • 2
  • 1
  • 1
  • 1
  • 1
Western Blotting (WB), ELISA, Immunohistochemistry (IHC)

Classe de qualité

Verified
  • Épitope

    • 3
    • 1
    • 1
    • 1
    • 1
    C-Term

    Fonction

    RANBP16 / Exportin 7

    Séquence

    NSTYGVNSND MMS

    Specificité

    This antibody is expected to recognise all the reported isoforms (NP_001093631.1, NP_055839, NP_001093632.1).

     Réactivité croisée

    Boeuf (Vache), Chien, Humain, Souris, Porc

    Purification

    Purified from goat serum by ammonium sulphate precipitation followed by antigen affinity chromatography using the immunizing peptide.

    Immunogène

    Peptide with sequence C-NSTYGVNSNDMMS, from the C Terminus of the protein sequence according to NP_001093631.1, NP_055839, NP_001093632.1.

    Isotype

    IgG
  • Indications d'application

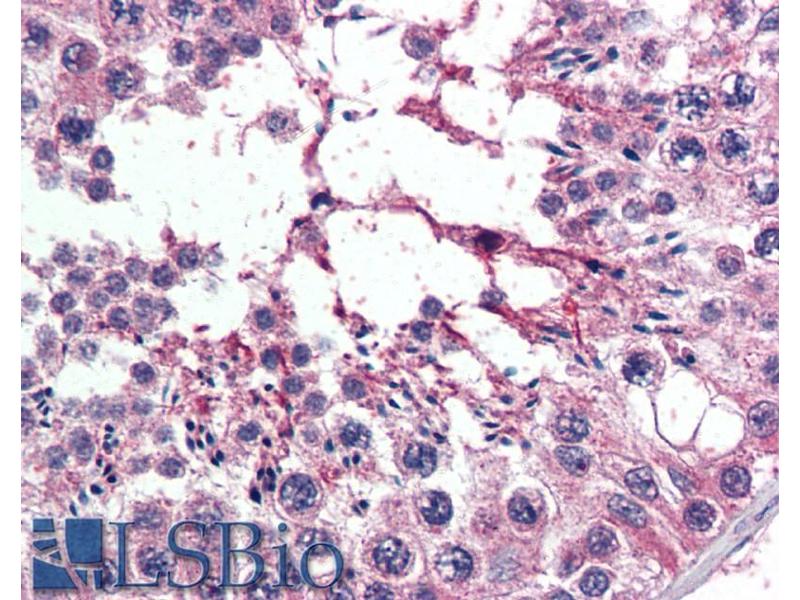
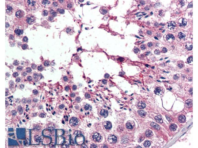
    Immunohistochemistry: Paraffin embedded Human Testis. Recommended concentration: 5 μg/mL.

    Western Blot: Approx 110 kDa band observed in Hela lysates (predicted size of approx. 124 kDa according to NP_055839). Recommended concentration: 0.5-1 μg/mL

    Peptide ELISA: antibody detection limit dilution 1:32000.

    Restrictions

    For Research Use only
  • Format

    Liquid

    Concentration

    0.5 mg/mL

    Buffer

    Supplied at 0.5 mg/mL in Tris saline, 0.02 % sodium azide, pH 7.3 with 0.5 % bovine serum albumin.

    Agent conservateur

    Sodium azide

    Précaution d'utilisation

    This product contains Sodium azide: a POISONOUS AND HAZARDOUS SUBSTANCE which should be handled by trained staff only.

    Conseil sur la manipulation

    Minimize freezing and thawing.

    Stock

    -20 °C

    Stockage commentaire

    Aliquot and store at -20°C, with minimal freeze/thawing. A working aliquot may be refrigerated at 4°C for a few weeks and still remain viable.
  • Antigène

    Exportin 7 (XPO7)

    Autre désignation

    XPO7

    Sujet

    XPO7, Exportin 7, RANBP16, KIAA0745, RAN binding protein 16

    ID gène

    23039, 65246

    NCBI Accession

    NP_001093631, NP_055839, NP_001093632
Vous êtes ici:
Chat with us!