PIK3C2A anticorps (C-Term)
Aperçu rapide pour PIK3C2A anticorps (C-Term) (ABIN185194)
Antigène
Voir toutes PIK3C2A AnticorpsReactivité
Hôte
Clonalité
Conjugué
Application
Classe de qualité
-
-
Épitope
- C-Term
-
Fonction
- PIK3C2A
-
Séquence
- TVKWYQLTAA TYL
-
Réactivité croisée
- Chien, Humain, Souris
-
Purification
- Purified from goat serum by ammonium sulphate precipitation followed by antigen affinity chromatography using the immunizing peptide.
-
Immunogène
- Peptide with sequence C-TVKWYQLTAATYL, from the C Terminus of the protein sequence according to NP_002636.2.
-
Isotype
- IgG
-
-
-
-
Indications d'application
-
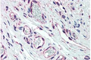
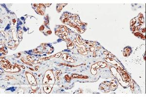
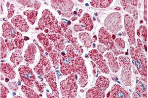
Immunohistochemistry: In paraffin embedded Human Placenta shows cytoplasm staining of cytotrophoblasts and mesenchymal cells. Recommended concentration: 2-4 μg/mL. Paraffin embedded Human Heart. Recommended concentration: 5 μg/mL.
Western Blot: Preliminary experiments gave no signal but low background in Human Testis and Molt-4 lysates at up to 1 μg/mL.
Peptide ELISA: antibody detection limit dilution 1:32000.
-
Restrictions
- For Research Use only
-
-
-
Format
- Liquid
-
Concentration
- 0.5 mg/mL
-
Buffer
- Supplied at 0.5 mg/mL in Tris saline, 0.02 % sodium azide, pH 7.3 with 0.5 % bovine serum albumin.
-
Agent conservateur
- Sodium azide
-
Précaution d'utilisation
- This product contains Sodium azide: a POISONOUS AND HAZARDOUS SUBSTANCE which should be handled by trained staff only.
-
Conseil sur la manipulation
- Minimize freezing and thawing.
-
Stock
- -20 °C
-
Stockage commentaire
- Aliquot and store at -20°C, with minimal freeze/thawing. A working aliquot may be refrigerated at 4°C for a few weeks and still remain viable.
-
-
- PIK3C2A (Phosphoinositide-3-Kinase, Class 2, alpha Polypeptide (PIK3C2A))
-
Autre désignation
- PIK3C2A
-
Sujet
- PIK3C2A, CPK, PI3-K-C2A, PI3K-C2alpha, PI3-K-C2(ALPHA), phosphoinositide-3-kinase, class 2, alpha polypeptide, C2-containing phosphatidylinositol kinase, DKFZp686L193, MGC142218,
-
ID gène
- 5286, 18704
-
NCBI Accession
- NP_002636
-
Pathways
- EGFR Signaling Pathway, Inositol Metabolic Process, Platelet-derived growth Factor Receptor Signaling
Antigène
-