Tel:
+49 (0)241 95 163 153
Fax:
+49 (0)241 95 163 155
E-Mail:
orders@anticorps-enligne.fr

MSX1 anticorps (N-Term)

Cet anticorps anti-MSX1 Polyclonal Chèvre (ABIN185250) détecte spécifiquement MSX1 dans WB, ELISA et IHC. L’anticorps est réactif avec des échantillons de Humain.
N° du produit ABIN185250
488,25 €
Plus frais de livraison 40,00 € et TVA
100 μg
Destination: France
Envoi sous 5 à 8 jours ouvrables

Aperçu rapide pour MSX1 anticorps (N-Term) (ABIN185250)

Antigène

Voir toutes MSX1 Anticorps
MSX1 (Msh Homeobox 1 (MSX1))

Reactivité

  • 55
  • 35
  • 16
  • 9
  • 5
  • 4
  • 3
  • 3
  • 2
  • 2
  • 1
  • 1
Humain

Hôte

  • 45
  • 11
  • 1
Chèvre

Clonalité

  • 47
  • 10
Polyclonal

Conjugué

  • 24
  • 5
  • 5
  • 3
  • 2
  • 1
  • 1
  • 1
  • 1
  • 1
  • 1
  • 1
  • 1
  • 1
  • 1
  • 1
  • 1
  • 1
  • 1
  • 1
  • 1
  • 1
  • 1
Cet anticorp MSX1 est non-conjugé

Application

  • 42
  • 23
  • 14
  • 13
  • 13
  • 10
  • 5
  • 5
  • 4
  • 3
Western Blotting (WB), ELISA, Immunohistochemistry (IHC)

Classe de qualité

Verified
  • Épitope

    • 16
    • 7
    • 5
    • 3
    • 2
    • 2
    • 1
    • 1
    • 1
    • 1
    • 1
    • 1
    • 1
    N-Term

    Fonction

    MSX1

    Séquence

    TSLPLGVKVE DS

     Réactivité croisée

    Boeuf (Vache), Humain, Souris, Porc, Rat

    Purification

    Purified from goat serum by ammonium sulphate precipitation followed by antigen affinity chromatography using the immunizing peptide.

    Immunogène

    Peptide with sequence TSLPLGVKVEDS-C, from the N Terminus of the protein sequence according to NP_002439.2.

    Isotype

    IgG
  • Indications d'application

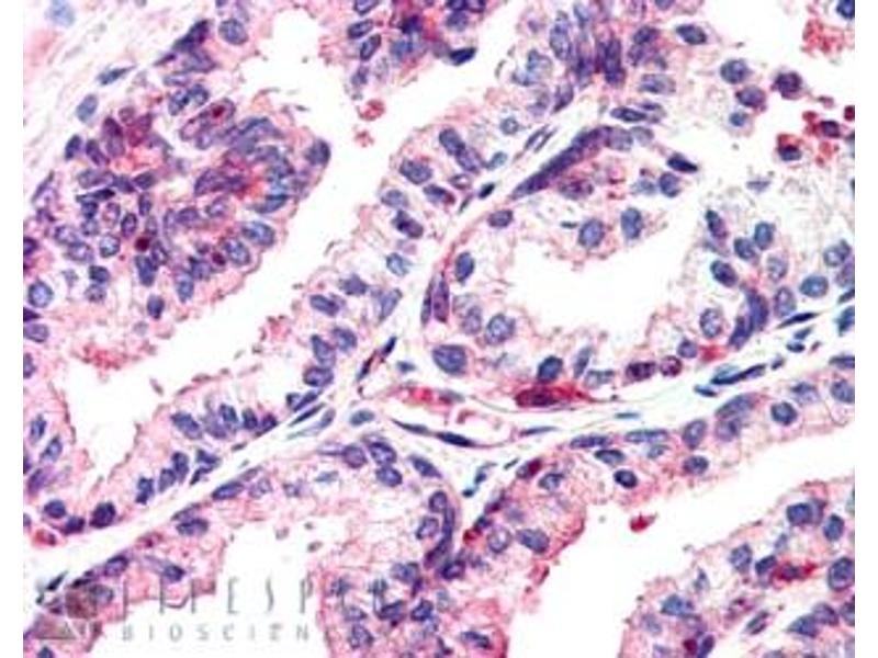
    Immunohistochemistry: In paraffin embedded Human Prostate shows staining of nucleoli in a few epithelial cells. Recommended concentration, 2-4 μg/mL. Data obtained from a previous batch (different goat).

    Western Blot: Preliminary experiments gave an approx. 55-60 kDa band in Human Muscle and Heart lysates at 1 μg/mL. Further, this band was successfully blocked by incubation with the immunising peptide. Please note that currently we cannot find an explanati

    Peptide ELISA: antibody detection limit dilution 1:64000.

    Restrictions

    For Research Use only
  • Format

    Liquid

    Concentration

    0.5 mg/mL

    Buffer

    Supplied at 0.5 mg/mL in Tris saline, 0.02 % sodium azide, pH 7.3 with 0.5 % bovine serum albumin.

    Agent conservateur

    Sodium azide

    Précaution d'utilisation

    This product contains Sodium azide: a POISONOUS AND HAZARDOUS SUBSTANCE which should be handled by trained staff only.

    Conseil sur la manipulation

    Minimize freezing and thawing.

    Stock

    -20 °C

    Stockage commentaire

    Aliquot and store at -20°C, with minimal freeze/thawing. A working aliquot may be refrigerated at 4°C for a few weeks and still remain viable.
  • Antigène

    MSX1 (Msh Homeobox 1 (MSX1))

    Autre désignation

    MSX1

    Sujet

    MSX1, HOX7, HYD1, msh homeo box homolog 1 (Drosophila), msh homeobox 1, STHAG1, homeobox 7, msh homeo box 1, msh homeobox homolog 1

    ID gène

    4487, 17701

    NCBI Accession

    NP_002439

    Pathways

    Regulation of Muscle Cell Differentiation, Positive Regulation of Response to DNA Damage Stimulus
Vous êtes ici:
Chat with us!