TPTE anticorps (Internal Region)
Aperçu rapide pour TPTE anticorps (Internal Region) (ABIN185693)
Antigène
Voir toutes TPTE AnticorpsReactivité
Hôte
Clonalité
Conjugué
Application
Classe de qualité
-
-
Épitope
- Internal Region
-
Fonction
- TPTE / PTEN2
-
Séquence
- ERRTDKTHSE KFQ
-
Specificité
- This antibody is expected to recognise all reported isoforms (NP_954870.2, NP_954868.1 and NP_954869.1). It may cross-react with the almost identical TPTE2 (GeneID 93492, NP_570141.2, NP_954864.1, NP_954863.1).
-
Réactivité croisée
- Humain
-
Purification
- Purified from goat serum by ammonium sulphate precipitation followed by antigen affinity chromatography using the immunizing peptide.
-
Immunogène
- C-ERRTDKTHSEKFQ
-
Isotype
- IgG
-
-
-
-
Indications d'application
-
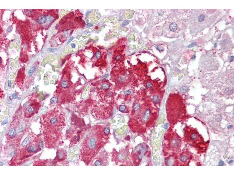
Immunohistochemistry: Paraffin embedded Human Adrenal Gland. Recommended concentration: 2.5 μg/mL.
Western Blot: Approx 50-55 kDa band observed in Human Testis lysates (calculated MW of 60.2 kDa according to NP_954869.1). Recommended concentration: 1-3 μg/mL.
Peptide ELISA: antibody detection limit dilution 1:16000.
-
Restrictions
- For Research Use only
-
-
-
Format
- Liquid
-
Concentration
- 0.5 mg/mL
-
Buffer
- Supplied at 0.5 mg/mL in Tris saline, 0.02 % sodium azide, pH 7.3 with 0.5 % bovine serum albumin.
-
Agent conservateur
- Sodium azide
-
Précaution d'utilisation
- This product contains Sodium azide: a POISONOUS AND HAZARDOUS SUBSTANCE which should be handled by trained staff only.
-
Conseil sur la manipulation
- Minimize freezing and thawing.
-
Stock
- -20 °C
-
Stockage commentaire
- Aliquot and store at -20°C, with minimal freeze/thawing. A working aliquot may be refrigerated at 4°C for a few weeks and still remain viable.
-
-
- TPTE (Transmembrane Phosphatase with Tensin Homology (TPTE))
-
Autre désignation
- TPTE
-
Sujet
- TPTE, PTEN2 , transmembrane phosphatase with tensin homology , tensin, putative protein-tyrosine phosphatase
-
ID gène
- 7179
-
NCBI Accession
- NP_954870, NP_954868, NP_954869
-
Pathways
- Inositol Metabolic Process
Antigène
-