Tel:
+49 (0)241 95 163 153
Fax:
+49 (0)241 95 163 155
E-Mail:
orders@anticorps-enligne.fr

SNX26 anticorps (N-Term)

Cet anticorps anti-SNX26 Polyclonal Chèvre (ABIN185694) détecte spécifiquement SNX26 dans ELISA et IHC. L’anticorps est réactif avec des échantillons de Humain.
N° du produit ABIN185694
488,25 €
Plus frais de livraison 40,00 € et TVA
100 μg
Destination: France
Envoi sous 5 à 8 jours ouvrables

Aperçu rapide pour SNX26 anticorps (N-Term) (ABIN185694)

Antigène

Voir toutes SNX26 Anticorps
SNX26 (Sorting Nexin 26 (SNX26))

Reactivité

  • 3
  • 2
  • 2
  • 1
  • 1
  • 1
Humain

Hôte

  • 2
  • 1
Chèvre

Clonalité

  • 3
Polyclonal

Conjugué

  • 3
Cet anticorp SNX26 est non-conjugé

Application

  • 2
  • 1
  • 1
ELISA, Immunohistochemistry (IHC)

Classe de qualité

Verified
  • Épitope

    • 2
    • 1
    N-Term

    Fonction

    SNX26 / TCGAP (N Terminus)

    Séquence

    ARSTDSLDGP GE

     Réactivité croisée

    Humain

    Purification

    Purified from goat serum by ammonium sulphate precipitation followed by antigen affinity chromatography using the immunizing peptide.

    Immunogène

    Peptide with sequence ARSTDSLDGPGE-C, from the N Terminus of the protein sequence according to NP_443180.2.

    Isotype

    IgG
  • Indications d'application

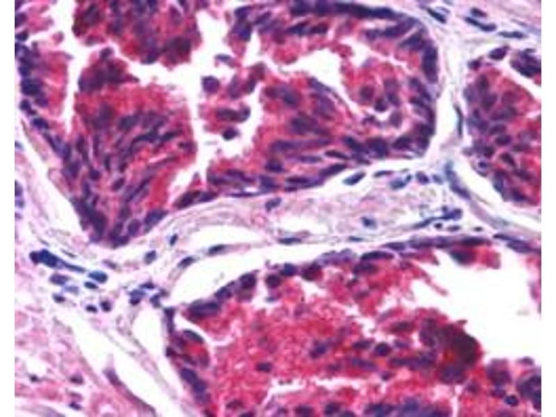
    Immunohistochemistry: In paraffin embedded Human Prostate shows cytoplasm staining of secretory cells in the glands. Recommended concentration, 1.25 μg/mL.

    Western Blot: Preliminary experiments gave an approx 35 kDa band in human brain (hippocampus) lysates after 1 μg/mL antibody staining. Please note that currently we cannot find an explanation in the literature for the band we observe given the calculated s

    Peptide ELISA: antibody detection limit dilution 1:32000.

    Restrictions

    For Research Use only
  • Format

    Liquid

    Concentration

    0.5 mg/mL

    Buffer

    Supplied at 0.5 mg/mL in Tris saline, 0.02 % sodium azide, pH 7.3 with 0.5 % bovine serum albumin.

    Agent conservateur

    Sodium azide

    Précaution d'utilisation

    This product contains Sodium azide: a POISONOUS AND HAZARDOUS SUBSTANCE which should be handled by trained staff only.

    Conseil sur la manipulation

    Minimize freezing and thawing.

    Stock

    -20 °C

    Stockage commentaire

    Aliquot and store at -20°C, with minimal freeze/thawing. A working aliquot may be refrigerated at 4°C for a few weeks and still remain viable.
  • Antigène

    SNX26 (Sorting Nexin 26 (SNX26))

    Autre désignation

    SNX26

    Sujet

    SNX26, TCGAP, sorting nexin 26, FLJ39019

    ID gène

    115703

    NCBI Accession

    NP_443180
Vous êtes ici:
Chat with us!