Tel:
+49 (0)241 95 163 153
Fax:
+49 (0)241 95 163 155
E-Mail:
orders@anticorps-enligne.fr

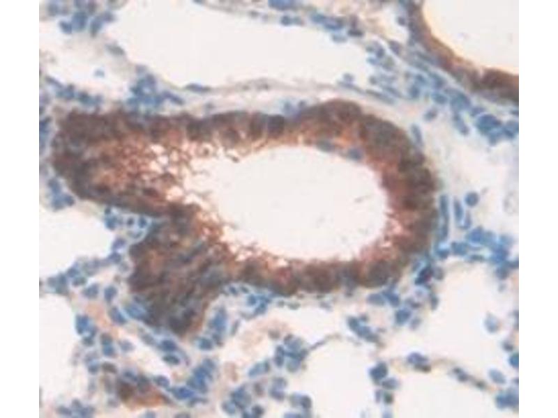
Connexin 31 anticorps (AA 84-174)

Cet anticorps Lapin Polyclonal détecte spécifiquement Connexin 31 dans WB, IHC, IP et ICC. Il présente une réactivité avec des échantillons de Rat.
N° du produit ABIN1858573
252,00 €
Plus frais de livraison 40,00 € et TVA
Destination: France
Envoi sous 11 à 15 jours ouvrables

Aperçu rapide pour Connexin 31 anticorps (AA 84-174) (ABIN1858573)

Antigène

Voir toutes Connexin 31 (GJB3) Anticorps
Connexin 31 (GJB3) (Gap Junction Protein, beta 3, 31kDa (GJB3))

Reactivité

  • 36
  • 15
  • 12
  • 2
  • 1
  • 1
  • 1
  • 1
  • 1
  • 1
Rat

Hôte

  • 51
  • 1
Lapin

Clonalité

  • 50
  • 2
Polyclonal

Conjugué

  • 27
  • 11
  • 4
  • 2
  • 1
  • 1
  • 1
  • 1
  • 1
  • 1
  • 1
  • 1
Cet anticorp Connexin 31 est non-conjugé

Application

  • 40
  • 29
  • 18
  • 10
  • 7
  • 4
  • 4
  • 3
  • 1
  • 1
Western Blotting (WB), Immunohistochemistry (IHC), Immunoprecipitation (IP), Immunocytochemistry (ICC)
  • Épitope

    • 9
    • 6
    • 5
    • 3
    • 3
    • 3
    • 2
    • 2
    • 1
    • 1
    • 1
    • 1
    • 1
    AA 84-174

    Fonction

    Polyclonal Antibody to Connexin 31 (CX31)

    Specificité

    The antibody is a rabbit polyclonal antibody raised against CX31. It has been selected for its ability to recognize CX31 in immunohistochemical staining and western blotting.

    Purification

    Antigen-specific affinity chromatography followed by Protein A affinity chromatography

    Immunogène

    CX31 (Val84-Val174)

    Isotype

    IgG
  • Indications d'application

    Western blotting: 0.2-2 μg/mL,1:250-2500 Immunohistochemistry: 5-20 μg/mL,1:25-100 Immunocytochemistry: 5-20 μg/mL,1:25-100 Optimal working dilutions must be determined by end user.

    Commentaires

    The thermal stability is described by the loss rate. The loss rate was determined by accelerated thermal degradation test, that is, incubate the protein at 37°C for 48h, and no obvious degradation and precipitation were observed. The loss rate is less than 5% within the expiration date under appropriate storage condition.

    Restrictions

    For Research Use only
  • Format

    Liquid

    Concentration

    500 μg/mL

    Buffer

    PBS, pH 7.4, containing 0.02 % Sodium azide, 50 % glycerol.

    Agent conservateur

    Sodium azide

    Précaution d'utilisation

    WARNING: Reagents contain sodium azide. Sodium azide is very toxic if ingested or inhaled. Avoid contact with skin, eyes, or clothing. Wear eye or face protection when handling. If skin or eye contact occurs, wash with copious amounts of water. If ingested or inhaled, contact a physician immediately. Sodium azide yields toxic hydrazoic acid under acidic conditions. Dilute azide-containing compounds in running water before discarding to avoid accumulation of potentially explosive deposits in lead or copper plumbing.

    Conseil sur la manipulation

    Avoid repeated freeze-thaw cycles.

    Stock

    4 °C,-20 °C

    Stockage commentaire

    Store at 4°C for frequent use. Stored at -20°C in a manual defrost freezer for two year without detectable loss of activity. Avoid repeated freeze-thaw cycles.

    Date de péremption

    12 months
  • Antigène

    Connexin 31 (GJB3) (Gap Junction Protein, beta 3, 31kDa (GJB3))

    Autre désignation

    CX31

    Sujet

    GJB3, GJ-B3, DFNA2, EKV, Gap Junction Protein Beta 3, Erythrokeratodermia Variabilis

    Pathways

    Sensory Perception of Sound
Vous êtes ici:
Chat with us!