Tel:
+49 (0)241 95 163 153
Fax:
+49 (0)241 95 163 155
E-Mail:
orders@anticorps-enligne.fr

Emilin1 anticorps (AA 803-1016)

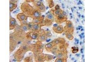
L’anticorps anti-Emilin1 Polyclonal Lapin est utilisé pour la détection de Emilin1 dans des échantillons de Souris. Il a été validé pour WB, IHC, IP et ICC.
N° du produit ABIN1858712
227,00 €
Plus frais de livraison 40,00 € et TVA
Destination: France
Envoi sous 11 à 15 jours ouvrables

Aperçu rapide pour Emilin1 anticorps (AA 803-1016) (ABIN1858712)

Antigène

Voir toutes Emilin1 (EMILIN1) Anticorps
Emilin1 (EMILIN1) (Elastin Microfibril Interfacer 1 (EMILIN1))

Reactivité

  • 27
  • 7
  • 4
  • 2
  • 2
  • 2
  • 2
  • 2
  • 1
  • 1
Souris

Hôte

  • 23
  • 6
  • 2
Lapin

Clonalité

  • 25
  • 6
Polyclonal

Conjugué

  • 27
  • 2
  • 1
  • 1
Cet anticorp Emilin1 est non-conjugé

Application

  • 23
  • 13
  • 12
  • 6
  • 4
  • 3
  • 2
  • 2
  • 2
  • 1
  • 1
Western Blotting (WB), Immunohistochemistry (IHC), Immunoprecipitation (IP), Immunocytochemistry (ICC)
  • Épitope

    • 9
    • 3
    • 2
    • 1
    • 1
    • 1
    • 1
    • 1
    • 1
    AA 803-1016

    Fonction

    Polyclonal Antibody to Elastin Microfibril Interface Located Protein 1 (EMILIN1)

    Specificité

    The antibody is a rabbit polyclonal antibody raised against EMILIN1. It has been selected for its ability to recognize EMILIN1 in immunohistochemical staining and western blotting.

     Réactivité croisée

    Humain, Rat

    Purification

    Antigen-specific affinity chromatography followed by Protein A affinity chromatography

    Immunogène

    RPA415Mu01Recombinant Elastin Microfibril Interface Located Protein 1 (EMILIN1)

    Isotype

    IgG
  • Indications d'application

    Western blotting: 0.01-2 μg/mL,Immunohistochemistry: 5-20 μg/mL,Immunofluorescence:5-20 μg/mL,Optimal working dilutions must be determined by end user.

    Commentaires

    The thermal stability is described by the loss rate. The loss rate was determined by accelerated thermal degradation test, that is, incubate the protein at 37°C for 48h, and no obvious degradation and precipitation were observed. The loss rate is less than 5% within the expiration date under appropriate storage condition.

    Restrictions

    For Research Use only
  • Format

    Liquid

    Concentration

    0.5 mg/mL

    Buffer

    PBS, pH 7.4, containing 0.02 % Sodium azide, 50 % glycerol.

    Agent conservateur

    Sodium azide

    Précaution d'utilisation

    WARNING: Reagents contain sodium azide. Sodium azide is very toxic if ingested or inhaled. Avoid contact with skin, eyes, or clothing. Wear eye or face protection when handling. If skin or eye contact occurs, wash with copious amounts of water. If ingested or inhaled, contact a physician immediately. Sodium azide yields toxic hydrazoic acid under acidic conditions. Dilute azide-containing compounds in running water before discarding to avoid accumulation of potentially explosive deposits in lead or copper plumbing.

    Conseil sur la manipulation

    Avoid repeated freeze-thaw cycles.

    Stock

    4 °C,-20 °C

    Stockage commentaire

    Store at 4°C for frequent use. Stored at -20°C in a manual defrost freezer for two year without detectable loss of activity. Avoid repeated freeze-thaw cycles.

    Date de péremption

    12 months
  • Antigène

    Emilin1 (EMILIN1) (Elastin Microfibril Interfacer 1 (EMILIN1))

    Autre désignation

    EMILIN1

    Sujet

    EMI, gp115, Elastin Microfibril Interfacer 1
Vous êtes ici:
Chat with us!