Tel:
+49 (0)241 95 163 153
Fax:
+49 (0)241 95 163 155
E-Mail:
orders@anticorps-enligne.fr

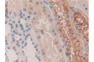
KIR2DS2 anticorps (AA 22-304)

Cet anticorps Lapin Polyclonal détecte spécifiquement KIR2DS2 dans WB, IHC, ICC et IP. Il présente une réactivité avec des échantillons de Humain.
N° du produit ABIN1859539
245,00 €
Plus frais de livraison 40,00 € et TVA
Destination: France
Envoi sous 11 à 15 jours ouvrables

Aperçu rapide pour KIR2DS2 anticorps (AA 22-304) (ABIN1859539)

Antigène

Voir toutes KIR2DS2 Anticorps
KIR2DS2 (Killer Cell Immunoglobulin-Like Receptor 2DS2 (KIR2DS2))

Reactivité

Humain

Hôte

  • 27
Lapin

Clonalité

  • 27
Polyclonal

Conjugué

  • 10
  • 6
  • 6
  • 2
  • 2
  • 1
Cet anticorp KIR2DS2 est non-conjugé

Application

  • 22
  • 15
  • 15
  • 9
  • 5
  • 4
  • 2
  • 1
  • 1
Western Blotting (WB), Immunohistochemistry (IHC), Immunocytochemistry (ICC), Immunoprecipitation (IP)
  • Épitope

    • 6
    • 5
    • 4
    • 3
    • 3
    • 2
    • 1
    • 1
    • 1
    • 1
    • 1
    AA 22-304

    Fonction

    Polyclonal Antibody to Killer Cell Immunoglobulin Like Receptor 2DS2 (KIR2DS2)

    Specificité

    The antibody is a rabbit polyclonal antibody raised against KIR2DS2. It has been selected for its ability to recognize KIR2DS2 in immunohistochemical staining and western blotting.

    Purification

    Antigen-specific affinity chromatography followed by Protein A affinity chromatography

    Immunogène

    KIR2DS2 (His22-Ala304)

    Isotype

    IgG
  • Indications d'application

    Western blotting: 0.2-2 μg/mL,1:250-2500 Immunohistochemistry: 5-20 μg/mL,1:25-100 Immunocytochemistry: 5-20 μg/mL,1:25-100 Optimal working dilutions must be determined by end user.

    Commentaires

    The thermal stability is described by the loss rate. The loss rate was determined by accelerated thermal degradation test, that is, incubate the protein at 37°C for 48h, and no obvious degradation and precipitation were observed. The loss rate is less than 5% within the expiration date under appropriate storage condition.

    Restrictions

    For Research Use only
  • Format

    Liquid

    Concentration

    500 μg/mL

    Buffer

    PBS, pH 7.4, containing 0.01 % SKL, 1 mM DTT, 5 % Trehalose and Proclin300.

    Agent conservateur

    Dithiothreitol (DTT), ProClin

    Précaution d'utilisation

    WARNING: Reagents contain sodium azide. Sodium azide is very toxic if ingested or inhaled. Avoid contact with skin, eyes, or clothing. Wear eye or face protection when handling. If skin or eye contact occurs, wash with copious amounts of water. If ingested or inhaled, contact a physician immediately. Sodium azide yields toxic hydrazoic acid under acidic conditions. Dilute azide-containing compounds in running water before discarding to avoid accumulation of potentially explosive deposits in lead or copper plumbing.

    Conseil sur la manipulation

    Avoid repeated freeze-thaw cycles.

    Stock

    4 °C,-20 °C

    Stockage commentaire

    Store at 4°C for frequent use. Stored at -20°C in a manual defrost freezer for two year without detectable loss of activity. Avoid repeated freeze-thaw cycles.

    Date de péremption

    12 months
  • Antigène

    KIR2DS2 (Killer Cell Immunoglobulin-Like Receptor 2DS2 (KIR2DS2))

    Autre désignation

    KIR2DS2

    Sujet

    CD158J, Cl-49, Nkat5, 183ActI, CD158 antigen-like family member J, MHC class I NK cell receptor, Natural killer-associated transcript 5, NK receptor 183 ActI
Vous êtes ici:
Chat with us!