Tel:
+49 (0)241 95 163 153
Fax:
+49 (0)241 95 163 155
E-Mail:
orders@anticorps-enligne.fr

FMO1 anticorps (AA 2-271)

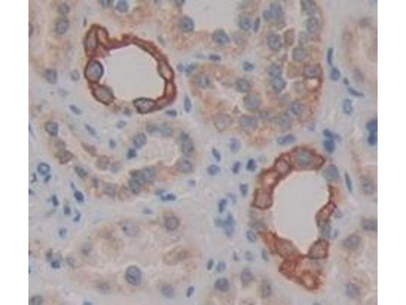
L’anticorps anti-FMO1 Polyclonal Lapin est utilisé pour la détection de FMO1 dans des échantillons de Humain. Il a été validé pour WB, IHC, IP et ICC.
N° du produit ABIN1868006
245,00 €
Plus frais de livraison 40,00 € et TVA
Destination: France
Envoi sous 11 à 15 jours ouvrables

Aperçu rapide pour FMO1 anticorps (AA 2-271) (ABIN1868006)

Antigène

Voir toutes FMO1 Anticorps
FMO1 (Flavin Containing Monooxygenase 1 (FMO1))

Reactivité

  • 10
  • 3
  • 3
  • 2
  • 2
  • 2
  • 2
  • 2
  • 1
Humain

Hôte

  • 9
  • 1
Lapin

Clonalité

  • 9
  • 1
Polyclonal

Conjugué

  • 10
Cet anticorp FMO1 est non-conjugé

Application

  • 9
  • 3
  • 2
  • 2
  • 1
  • 1
  • 1
Western Blotting (WB), Immunohistochemistry (IHC), Immunoprecipitation (IP), Immunocytochemistry (ICC)
  • Épitope

    • 1
    • 1
    • 1
    • 1
    • 1
    • 1
    • 1
    AA 2-271

    Fonction

    Polyclonal Antibody to Flavin Containing Monooxygenase 1 (FMO1)

    Specificité

    The antibody is a rabbit polyclonal antibody raised against FMO1. It has been selected for its ability to recognize FMO1 in immunohistochemical staining and western blotting.

     Réactivité croisée

    Porc

    Purification

    Antigen-specific affinity chromatography followed by Protein A affinity chromatography

    Immunogène

    RPF458Hu01Recombinant Flavin Containing Monooxygenase 1 (FMO1)

    Isotype

    IgG
  • Indications d'application

    Western blottin:g: 0.5-3 μg/mL,Immunohistochemistry: 5-30 μg/mL,Immunocytochemistry: 5-30 μg/mL,Optimal working dilutions must be determined by end user.

    Commentaires

    The thermal stability is described by the loss rate. The loss rate was determined by accelerated thermal degradation test, that is, incubate the protein at 37°C for 48h, and no obvious degradation and precipitation were observed. The loss rate is less than 5% within the expiration date under appropriate storage condition.

    Restrictions

    For Research Use only
  • Format

    Liquid

    Concentration

    500 μg/mL

    Buffer

    0.01M PBS, pH 7.4, containing 0.05 % Proclin-300, 50 % glycerol.

    Agent conservateur

    ProClin

    Précaution d'utilisation

    WARNING: Reagents contain sodium azide. Sodium azide is very toxic if ingested or inhaled. Avoid contact with skin, eyes, or clothing. Wear eye or face protection when handling. If skin or eye contact occurs, wash with copious amounts of water. If ingested or inhaled, contact a physician immediately. Sodium azide yields toxic hydrazoic acid under acidic conditions. Dilute azide-containing compounds in running water before discarding to avoid accumulation of potentially explosive deposits in lead or copper plumbing.

    Conseil sur la manipulation

    Avoid repeated freeze-thaw cycles.

    Stock

    4 °C,-20 °C

    Stockage commentaire

    Store at 4°C for frequent use. Stored at -20°C in a manual defrost freezer for two year without detectable loss of activity. Avoid repeated freeze-thaw cycles.

    Date de péremption

    12 months
  • Antigène

    FMO1 (Flavin Containing Monooxygenase 1 (FMO1))

    Autre désignation

    FMO1

    Sujet

    Dimethylaniline oxidase 1, Fetal hepatic flavin-containing monooxygenase 1
Vous êtes ici:
Chat with us!