Tel:
+49 (0)241 95 163 153
Fax:
+49 (0)241 95 163 155
E-Mail:
orders@anticorps-enligne.fr

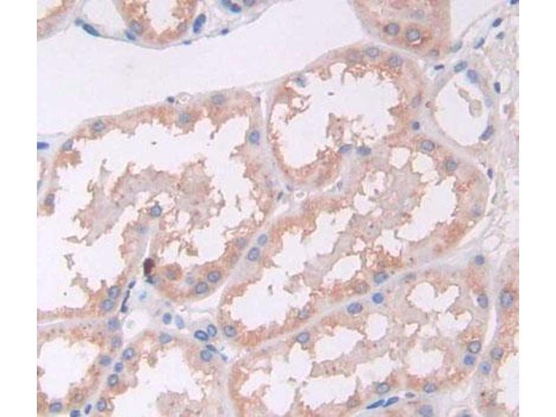
IL17D anticorps (AA 35-169)

Cet anticorps Lapin Polyclonal détecte spécifiquement IL17D dans WB, IHC, IP et ICC. Il présente une réactivité avec des échantillons de Humain.
N° du produit ABIN1868590
245,00 €
Plus frais de livraison 40,00 € et TVA
Destination: France
Envoi sous 11 à 15 jours ouvrables

Aperçu rapide pour IL17D anticorps (AA 35-169) (ABIN1868590)

Antigène

Voir toutes IL17D Anticorps
IL17D (Interleukin 17D (IL17D))

Reactivité

  • 51
  • 16
  • 3
  • 2
  • 2
  • 1
  • 1
Humain

Hôte

  • 46
  • 4
  • 4
  • 2
Lapin

Clonalité

  • 48
  • 8
Polyclonal

Conjugué

  • 33
  • 5
  • 4
  • 3
  • 3
  • 2
  • 1
  • 1
  • 1
  • 1
  • 1
  • 1
Cet anticorp IL17D est non-conjugé

Application

  • 32
  • 32
  • 15
  • 4
  • 4
  • 3
  • 2
  • 2
  • 1
  • 1
Western Blotting (WB), Immunohistochemistry (IHC), Immunoprecipitation (IP), Immunocytochemistry (ICC)
  • Épitope

    • 8
    • 7
    • 5
    • 4
    • 3
    • 3
    • 2
    • 2
    • 2
    • 1
    • 1
    • 1
    • 1
    • 1
    • 1
    AA 35-169

    Fonction

    Polyclonal Antibody to Interleukin 17D (IL17D)

    Specificité

    The antibody is a rabbit polyclonal antibody raised against IL17D. It has been selected for its ability to recognize IL17D in immunohistochemical staining and western blotting.

     Réactivité croisée

    Souris, Rat

    Purification

    Antigen-specific affinity chromatography followed by Protein A affinity chromatography

    Immunogène

    RPD346Hu01Recombinant Interleukin 17D (IL17D)

    Isotype

    IgG
  • Indications d'application

    Western blotting: 0.01-2 μg/mL,Immunohistochemistry: 5-20 μg/mL,Immunocytochemistry: 5-20 μg/mL,Optimal working dilutions must be determined by end user.

    Commentaires

    The thermal stability is described by the loss rate. The loss rate was determined by accelerated thermal degradation test, that is, incubate the protein at 37°C for 48h, and no obvious degradation and precipitation were observed. The loss rate is less than 5% within the expiration date under appropriate storage condition.

    Restrictions

    For Research Use only
  • Format

    Liquid

    Concentration

    0.5 mg/mL

    Buffer

    PBS, pH 7.4, containing 0.02 % Sodium azide, 50 % glycerol.

    Agent conservateur

    Sodium azide

    Précaution d'utilisation

    WARNING: Reagents contain sodium azide. Sodium azide is very toxic if ingested or inhaled. Avoid contact with skin, eyes, or clothing. Wear eye or face protection when handling. If skin or eye contact occurs, wash with copious amounts of water. If ingested or inhaled, contact a physician immediately. Sodium azide yields toxic hydrazoic acid under acidic conditions. Dilute azide-containing compounds in running water before discarding to avoid accumulation of potentially explosive deposits in lead or copper plumbing.

    Conseil sur la manipulation

    Avoid repeated freeze-thaw cycles.

    Stock

    4 °C,-20 °C

    Stockage commentaire

    Store at 4°C for frequent use. Stored at -20°C in a manual defrost freezer for two year without detectable loss of activity. Avoid repeated freeze-thaw cycles.

    Date de péremption

    12 months
  • Antigène

    IL17D (Interleukin 17D (IL17D))

    Autre désignation

    IL17D

    Sujet

    Interleukin-27

    Pathways

    Cellular Response to Molecule of Bacterial Origin
Vous êtes ici:
Chat with us!