Tel:
+49 (0)241 95 163 153
Fax:
+49 (0)241 95 163 155
E-Mail:
orders@anticorps-enligne.fr

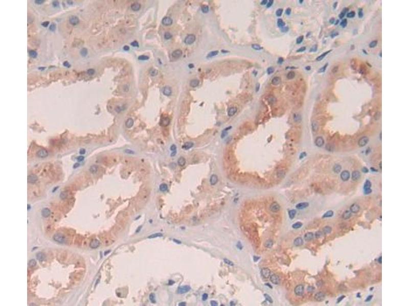
PIM3 anticorps (AA 1-326)

Cet anticorps anti-PIM3 Polyclonal Lapin (ABIN1869804) détecte spécifiquement PIM3 dans WB, IHC, IP et ICC. L’anticorps est réactif avec des échantillons de Humain.
N° du produit ABIN1869804
270,00 €
Plus frais de livraison 40,00 € et TVA
Destination: France
Envoi sous 11 à 15 jours ouvrables

Aperçu rapide pour PIM3 anticorps (AA 1-326) (ABIN1869804)

Antigène

Voir toutes PIM3 Anticorps
PIM3 (Pim-3 Oncogene (PIM3))

Reactivité

  • 29
  • 13
  • 2
Humain

Hôte

  • 27
  • 2
Lapin

Clonalité

  • 27
  • 2
Polyclonal

Conjugué

  • 13
  • 3
  • 3
  • 2
  • 1
  • 1
  • 1
  • 1
  • 1
  • 1
  • 1
  • 1
Cet anticorp PIM3 est non-conjugé

Application

  • 17
  • 15
  • 13
  • 2
  • 2
  • 2
  • 1
  • 1
Western Blotting (WB), Immunohistochemistry (IHC), Immunoprecipitation (IP), Immunocytochemistry (ICC)
  • Épitope

    • 9
    • 6
    • 2
    • 1
    • 1
    AA 1-326

    Fonction

    Polyclonal Antibody to Pim-3 Oncogene (PIM3)

    Specificité

    The antibody is a rabbit polyclonal antibody raised against PIM3. It has been selected for its ability to recognize PIM3 in immunohistochemical staining and western blotting.

     Réactivité croisée

    Souris, Porc, Rat

    Purification

    Antigen-specific affinity chromatography followed by Protein A affinity chromatography

    Immunogène

    PIM3 (Met1-Leu326)

    Isotype

    IgG
  • Indications d'application

    Western blotting: 0.2-2 μg/mL,1:250-2500 Immunohistochemistry: 5-20 μg/mL,1:25-100 Immunocytochemistry: 5-20 μg/mL,1:25-100 Optimal working dilutions must be determined by end user.

    Commentaires

    The thermal stability is described by the loss rate. The loss rate was determined by accelerated thermal degradation test, that is, incubate the protein at 37°C for 48h, and no obvious degradation and precipitation were observed. The loss rate is less than 5% within the expiration date under appropriate storage condition.

    Restrictions

    For Research Use only
  • Format

    Liquid

    Concentration

    500 μg/mL

    Buffer

    PBS, pH 7.4, containing 0.01 % SKL, 1 mM DTT, 5 % Trehalose and Proclin300.

    Agent conservateur

    Dithiothreitol (DTT), ProClin

    Précaution d'utilisation

    WARNING: Reagents contain sodium azide. Sodium azide is very toxic if ingested or inhaled. Avoid contact with skin, eyes, or clothing. Wear eye or face protection when handling. If skin or eye contact occurs, wash with copious amounts of water. If ingested or inhaled, contact a physician immediately. Sodium azide yields toxic hydrazoic acid under acidic conditions. Dilute azide-containing compounds in running water before discarding to avoid accumulation of potentially explosive deposits in lead or copper plumbing.

    Conseil sur la manipulation

    Avoid repeated freeze-thaw cycles.

    Stock

    4 °C,-20 °C

    Stockage commentaire

    Store at 4°C for frequent use. Stored at -20°C in a manual defrost freezer for two year without detectable loss of activity. Avoid repeated freeze-thaw cycles.

    Date de péremption

    12 months
  • Antigène

    PIM3 (Pim-3 Oncogene (PIM3))

    Autre désignation

    PIM3

    Sujet

    Serine/threonine-protein kinase pim-3

    Pathways

    Negative Regulation of Hormone Secretion
Vous êtes ici:
Chat with us!