Tel:
+49 (0)241 95 163 153
Fax:
+49 (0)241 95 163 155
E-Mail:
orders@anticorps-enligne.fr

UROD anticorps (AA 1-364)

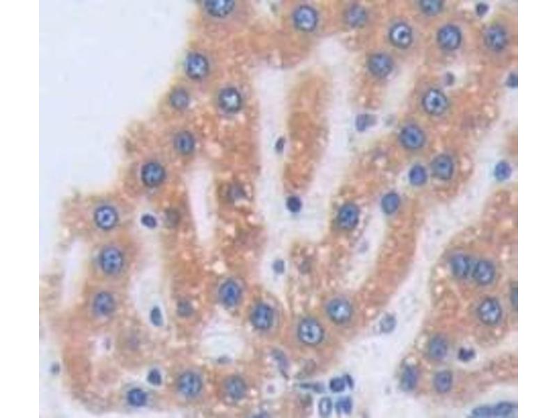
L’anticorps anti-UROD Polyclonal Lapin est utilisé pour la détection de UROD dans des échantillons de Rat. Il a été validé pour WB, IHC, IP et ICC.
N° du produit ABIN1872149
266,00 €
Plus frais de livraison 40,00 € et TVA
Destination: France
Envoi sous 11 à 15 jours ouvrables

Aperçu rapide pour UROD anticorps (AA 1-364) (ABIN1872149)

Antigène

Voir toutes UROD Anticorps
UROD (Uroporphyrinogen Decarboxylase (UROD))

Reactivité

  • 38
  • 8
  • 6
  • 3
  • 3
  • 2
  • 2
  • 2
  • 2
  • 2
  • 1
  • 1
Rat

Hôte

  • 33
  • 6
  • 1
Lapin

Clonalité

  • 37
  • 3
Polyclonal

Conjugué

  • 20
  • 1
  • 1
  • 1
  • 1
  • 1
  • 1
  • 1
  • 1
  • 1
  • 1
  • 1
  • 1
  • 1
  • 1
  • 1
  • 1
  • 1
  • 1
  • 1
  • 1
Cet anticorp UROD est non-conjugé

Application

  • 33
  • 13
  • 13
  • 9
  • 7
  • 4
  • 3
  • 2
  • 2
  • 1
  • 1
Western Blotting (WB), Immunohistochemistry (IHC), Immunoprecipitation (IP), Immunocytochemistry (ICC)
  • Épitope

    • 15
    • 3
    • 3
    • 2
    • 1
    • 1
    • 1
    • 1
    • 1
    AA 1-364

    Fonction

    Polyclonal Antibody to Uroporphyrinogen Decarboxylase (UROD)

    Specificité

    The antibody is a rabbit polyclonal antibody raised against UROD. It has been selected for its ability to recognize UROD in immunohistochemical staining and western blotting.

     Réactivité croisée

    Humain, Souris

    Purification

    Antigen-specific affinity chromatography followed by Protein A affinity chromatography

    Immunogène

    UROD (Asn1-Asn364)

    Isotype

    IgG
  • Indications d'application

    Western blotting: 0.2-2 μg/mL,1:250-2500 Immunohistochemistry: 5-20 μg/mL,1:25-100 Immunocytochemistry: 5-20 μg/mL,1:25-100 Optimal working dilutions must be determined by end user.

    Commentaires

    The thermal stability is described by the loss rate. The loss rate was determined by accelerated thermal degradation test, that is, incubate the protein at 37°C for 48h, and no obvious degradation and precipitation were observed. The loss rate is less than 5% within the expiration date under appropriate storage condition.

    Restrictions

    For Research Use only
  • Format

    Liquid

    Concentration

    500 μg/mL

    Buffer

    PBS, pH 7.4, containing 0.02 % Sodium azide, 50 % glycerol.

    Agent conservateur

    Sodium azide

    Précaution d'utilisation

    WARNING: Reagents contain sodium azide. Sodium azide is very toxic if ingested or inhaled. Avoid contact with skin, eyes, or clothing. Wear eye or face protection when handling. If skin or eye contact occurs, wash with copious amounts of water. If ingested or inhaled, contact a physician immediately. Sodium azide yields toxic hydrazoic acid under acidic conditions. Dilute azide-containing compounds in running water before discarding to avoid accumulation of potentially explosive deposits in lead or copper plumbing.

    Conseil sur la manipulation

    Avoid repeated freeze-thaw cycles.

    Stock

    4 °C,-20 °C

    Stockage commentaire

    Store at 4°C for frequent use. Stored at -20°C in a manual defrost freezer for two year without detectable loss of activity. Avoid repeated freeze-thaw cycles.

    Date de péremption

    12 months
  • Antigène

    UROD (Uroporphyrinogen Decarboxylase (UROD))

    Autre désignation

    UROD

    Sujet

    PCT, Uroporphyrinogen III Decarboxylase
Vous êtes ici:
Chat with us!