Il existe 1 publication pour ce produit.
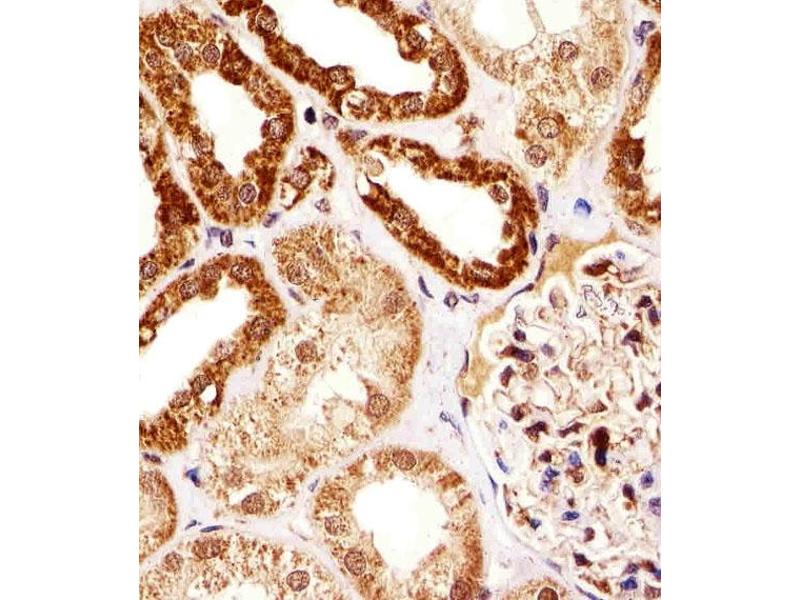
L’anticorps anti-SSNA1 Polyclonal Lapin est utilisé pour la détection de SSNA1 dans des échantillons de Humain. Il a été validé pour WB et IHC (p).
Western Blotting (WB), Immunohistochemistry (Paraffin-embedded Sections) (IHC (p))
Épitope
AA 25-53, N-Term
Homologie
B, M
Purification
This antibody is purified through a protein A column, followed by peptide affinity purification.
Immunogène
This SSNA1 antibody is generated from rabbits immunized with a KLH conjugated synthetic peptide between 25-53 amino acids from the N-terminal region of human SSNA1.
SSNA1
Reactivité: Humain, Souris, Rat, Cobaye
WB
Hôte: Lapin
Polyclonal
unconjugated
Indications d'application
WB: 1:1000. IHC-P: 1:25. IHC-P: 1:25
Restrictions
For Research Use only
Format
Liquid
Buffer
Purified polyclonal antibody supplied in PBS with 0.09 % (W/V) sodium azide.
Agent conservateur
Sodium azide
Précaution d'utilisation
This product contains Sodium azide: a POISONOUS AND HAZARDOUS SUBSTANCE which should be handled by trained staff only.
Stock
4 °C,-20 °C
Date de péremption
6 months
Ramos-Morales, Infante, Fedriani, Bornens, Rios: "NA14 is a novel nuclear autoantigen with a coiled-coil domain." dans: The Journal of biological chemistry, Vol. 273, Issue 3, pp. 1634-9, (1998) (PubMed).