Tel:
+49 (0)241 95 163 153
Fax:
+49 (0)241 95 163 155
E-Mail:
orders@anticorps-enligne.fr

RER1 anticorps (C-Term)

Cet anticorps anti-RER1 Polyclonal Chèvre (ABIN190761) détecte spécifiquement RER1 dans ELISA et IHC. L’anticorps est réactif avec des échantillons de Humain.
N° du produit ABIN190761
488,25 €
Plus frais de livraison 40,00 € et TVA
100 μg
Destination: France
Envoi sous 5 à 8 jours ouvrables

Aperçu rapide pour RER1 anticorps (C-Term) (ABIN190761)

Antigène

Voir toutes RER1 Anticorps
RER1 (RER1 Retention in Endoplasmic Reticulum 1 Homolog (RER1))

Reactivité

  • 13
  • 4
  • 4
  • 2
  • 2
  • 2
  • 2
  • 2
  • 2
  • 1
  • 1
  • 1
  • 1
Humain

Hôte

  • 13
Chèvre

Clonalité

  • 13
Polyclonal

Conjugué

  • 7
  • 2
  • 2
  • 2
Cet anticorp RER1 est non-conjugé

Application

  • 8
  • 4
  • 3
  • 1
  • 1
  • 1
ELISA, Immunohistochemistry (IHC)

Classe de qualité

Verified
  • Épitope

    • 4
    • 4
    • 1
    • 1
    • 1
    C-Term

    Fonction

    RER1

    Séquence

    HGKRRYRGKE DAGK

     Réactivité croisée

    Humain

    Purification

    Purified from goat serum by ammonium sulphate precipitation followed by antigen affinity chromatography using the immunizing peptide.

    Immunogène

    Peptide with sequence C-HGKRRYRGKEDAGK, from the C Terminus of the protein sequence according to NP_008964.3.

    Isotype

    IgG
  • Indications d'application

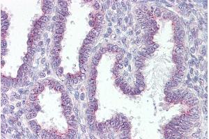
    Immunohistochemistry: Paraffin embedded Human Uterus. Recommended concentration: 3.75 μg/mL.

    Western Blot: Preliminary experiments gave an approx 45 kDa band in Human Brain lysates after 0.01 μg/mL antibody staining. Please note that currently we cannot find an explanation in the literature for the band we observe given the calculated size of 22.9

    Peptide ELISA: antibody detection limit dilution 1:128000.

    Restrictions

    For Research Use only
  • Format

    Liquid

    Concentration

    0.5 mg/mL

    Buffer

    Supplied at 0.5 mg/mL in Tris saline, 0.02 % sodium azide, pH 7.3 with 0.5 % bovine serum albumin.

    Agent conservateur

    Sodium azide

    Précaution d'utilisation

    This product contains Sodium azide: a POISONOUS AND HAZARDOUS SUBSTANCE which should be handled by trained staff only.

    Conseil sur la manipulation

    Minimize freezing and thawing.

    Stock

    -20 °C

    Stockage commentaire

    Aliquot and store at -20°C, with minimal freeze/thawing. A working aliquot may be refrigerated at 4°C for a few weeks and still remain viable.
  • Antigène

    RER1 (RER1 Retention in Endoplasmic Reticulum 1 Homolog (RER1))

    Autre désignation

    RER1

    Sujet

    RER1, RER1 retention in endoplasmic reticulum 1 homolog (S. cerevisiae), RP4-740C4.2, RER1 homolog, RER1 retention in endoplasmic reticulum 1

    ID gène

    11079, 67830

    NCBI Accession

    NP_008964
Vous êtes ici:
Chat with us!