PDE2A anticorps
Aperçu rapide pour PDE2A anticorps (ABIN1960070)
Antigène
Voir toutes PDE2A AnticorpsReactivité
Hôte
Clonalité
Conjugué
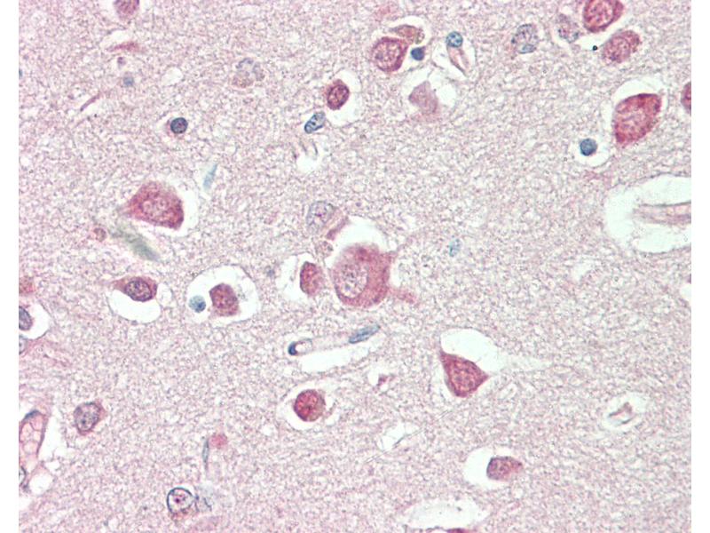
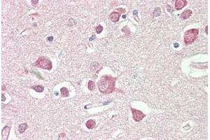
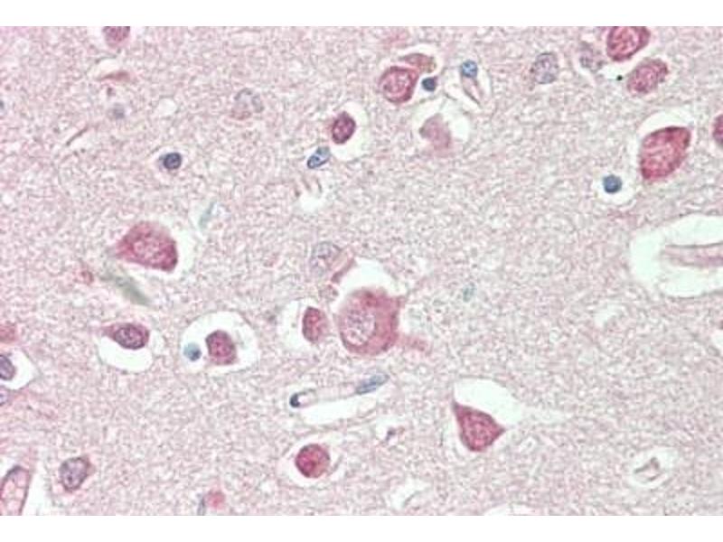
Application
Clone
-
-
Specificité
- Human PDE2 / PDE2A
-
Purification
- Protein A/G purified
-
Immunogène
-
Full length human recombinant protein of human PDE2A (NP_002590) produced in HEK293T cell.
Type of Immunogen: Recombinant protein -
Isotype
- IgG2a
-
-
-
-
Indications d'application
- Approved: Flo (1:100), IF (1:100), IHC, IHC-P (1:50), WB (1:2000)
-
Commentaires
-
Target Species of Antibody: Human
-
Restrictions
- For Research Use only
-
-
-
Format
- Liquid
-
Concentration
- Lot specific
-
Buffer
- PBS, pH 7.3, 1 % BSA, 50 % glycerol, 0.02 % sodium azide
-
Agent conservateur
- Sodium azide
-
Précaution d'utilisation
- This product contains Sodium azide: a POISONOUS AND HAZARDOUS SUBSTANCE which should be handled by trained staff only.
-
Conseil sur la manipulation
- Minimize freezing and thawing.
-
Stock
- -20 °C
-
Stockage commentaire
- Store at -20°C. Avoid freeze-thaw cycles.
-
-
- PDE2A (phosphodiesterase 2A, CGMP-Stimulated (PDE2A))
-
Autre désignation
- Pde2 / PDE2A
-
Sujet
-
Name/Gene ID: PDE2A
Subfamily: PDE - cAMP/cGMP dual-specific, cGMP-stimulated
Family: Phosphodiesterase
Synonyms: PDE2A, CGMP-stimulated PDE, Cyclic GMP-stimulated PDE, PDE2, Pde2a2, PED2A4, Phosphodiesterase 2A, CGS-PDE, CGSPDE, PDE2A1, Pde2a3 -
ID gène
- 5138
-
NCBI Accession
- NP_002590
-
Pathways
- cAMP Metabolic Process, Synaptic Membrane
Antigène
-