Tel:
+49 (0)241 95 163 153
Fax:
+49 (0)241 95 163 155
E-Mail:
orders@anticorps-enligne.fr

RPS6 anticorps (AA 233-237)

Cet anticorps Lapin Polyclonal détecte spécifiquement RPS6 dans WB, IF et IHC (p). Il présente une réactivité envers Humain, Souris et Rat.
N° du produit ABIN197471

Aperçu rapide pour RPS6 anticorps (AA 233-237) (ABIN197471)

Antigène

Voir toutes RPS6 Anticorps
RPS6 (Ribosomal Protein S6 (RPS6))

Reactivité

  • 123
  • 111
  • 98
  • 12
  • 12
  • 10
  • 10
  • 10
  • 8
  • 8
  • 7
  • 7
  • 5
  • 5
  • 5
  • 4
  • 2
  • 2
  • 2
  • 1
Humain, Souris, Rat

Hôte

  • 143
  • 9
  • 2
  • 2
Lapin

Clonalité

  • 143
  • 13
Polyclonal

Conjugué

  • 80
  • 9
  • 8
  • 6
  • 3
  • 3
  • 3
  • 3
  • 3
  • 3
  • 3
  • 3
  • 3
  • 3
  • 3
  • 3
  • 3
  • 3
  • 3
  • 2
  • 2
  • 2
  • 2
Cet anticorp RPS6 est non-conjugé

Application

  • 131
  • 55
  • 40
  • 40
  • 39
  • 31
  • 26
  • 17
  • 12
  • 11
  • 9
  • 3
  • 3
  • 2
  • 1
  • 1
  • 1
Western Blotting (WB), Immunofluorescence (IF), Immunohistochemistry (Paraffin-embedded Sections) (IHC (p))
  • Épitope

    • 45
    • 25
    • 20
    • 20
    • 15
    • 14
    • 13
    • 9
    • 9
    • 5
    • 5
    • 5
    • 4
    • 3
    • 2
    • 2
    • 2
    • 2
    • 2
    • 1
    • 1
    • 1
    • 1
    • 1
    • 1
    • 1
    • 1
    • 1
    • 1
    • 1
    • 1
    AA 233-237

    Specificité

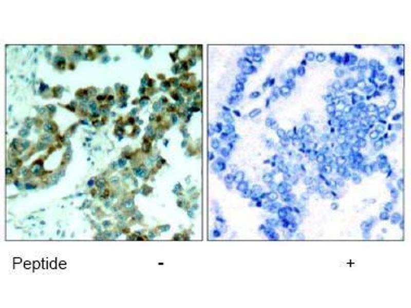
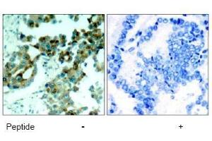
    This antibody AP02734PU detects endogenous levels of total S6 Ribosomal protein.

    Purification

    Affinity Chromatography using epitope-specific peptide

    Immunogène

    Peptide sequence around amino acids 233~237 (R-L-S-S-L) derived from Human S6 Ribosomal protein
  • Indications d'application

    Western blot: 1/500-1/1000. Immunofluorescence: 1/100-1/200. Immunohistochemistry on Paraffin-Embedded Sections: 1/50-1/100.
    Other applications not tested.
    Optimal dilutions are dependent on conditions and should be determined by the user.

    Restrictions

    For Research Use only
  • Concentration

    1.0 mg/mL

    Buffer

    PBS (without Mg2+ and Ca2+), pH 7.4, 150 mM NaCl, 0.02 % Sodium Azide and 50 % Glycerol.

    Agent conservateur

    Sodium azide

    Précaution d'utilisation

    This product contains sodium azide: a POISONOUS AND HAZARDOUS SUBSTANCE which should be handled by trained staff only.

    Conseil sur la manipulation

    Avoid repeated freezing and thawing.

    Stock

    -20 °C

    Stockage commentaire

    Store the antibody (in aliquots) at -20 °C.
  • Antigène

    RPS6 (Ribosomal Protein S6 (RPS6))

    Autre désignation

    RPS6

    Sujet

    May play an important role in controlling cell growth and proliferation through the selective translation of particular classes of mRNA. Ribosomal protein S6 is the major substrate of protein kinases in eukaryote ribosomes. The phosphorylation is stimulated by growth factors, tumor promoting agents, and mitogens. It is dephosphorylated at growth arrest.Synonyms: 40S ribosomal protein S6, Phosphoprotein NP33

    ID gène

    6194

    NCBI Accession

    NP_001001

    UniProt

    P62753

    Pathways

    Carbohydrate Homeostasis, Ribonucleoprotein Complex Subunit Organization, Ribosome Assembly
Vous êtes ici:
Chat with us!