Tel:
+49 (0)241 95 163 153
Fax:
+49 (0)241 95 163 155
E-Mail:
orders@anticorps-enligne.fr

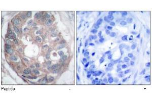
DAB1 anticorps (Tyr232)

Cet anticorps anti-DAB1 Polyclonal Lapin (ABIN197508) détecte spécifiquement DAB1 dans IHC (p). L’anticorps est réactif avec des échantillons de Humain, Rat et Souris.
N° du produit ABIN197508
606,15 €
Plus frais de livraison 40,00 € et TVA
Destination: France
Envoi sous 17 jours ouvrables

Aperçu rapide pour DAB1 anticorps (Tyr232) (ABIN197508)

Antigène

Voir toutes DAB1 Anticorps
DAB1 (Disabled Homolog 1 (Drosophila) (DAB1))

Reactivité

  • 62
  • 60
  • 59
  • 4
  • 4
  • 3
  • 3
  • 3
  • 3
  • 2
  • 2
  • 1
Humain, Rat, Souris

Hôte

  • 95
  • 3
  • 3
Lapin

Clonalité

  • 100
  • 1
Polyclonal

Conjugué

  • 46
  • 5
  • 5
  • 4
  • 3
  • 3
  • 3
  • 3
  • 3
  • 3
  • 3
  • 3
  • 3
  • 3
  • 3
  • 1
  • 1
  • 1
  • 1
  • 1
  • 1
  • 1
  • 1
Cet anticorp DAB1 est non-conjugé

Application

  • 74
  • 41
  • 41
  • 34
  • 21
  • 18
  • 11
  • 11
  • 7
  • 6
  • 2
  • 2
  • 1
Immunohistochemistry (Paraffin-embedded Sections) (IHC (p))
  • Épitope

    • 16
    • 15
    • 15
    • 7
    • 5
    • 3
    • 3
    • 3
    • 2
    • 2
    • 2
    • 2
    • 2
    • 2
    • 1
    • 1
    • 1
    • 1
    • 1
    • 1
    • 1
    • 1
    • 1
    • 1
    • 1
    Tyr232

    Specificité

    Dab1 antibody detects endogenous levels of total Dab1 protein.

    Purification

    The antibody was affinity-purified from rabbit antiserum by affinity-chromatography using epitope-specific immunogen

    Immunogène

    The antiserum was produced against synthesized non-phosphopeptide derived from human Dab1around the phosphorylation site of tyrosine 232 (G-V-YP-D-V).
  • Indications d'application

    Immunohistochemistry: 1: 50-1: 100.
    Other applications not tested.
    Optimal dilutions are dependent on conditions and should be determined by the user.

    Restrictions

    For Research Use only
  • Concentration

    1.0 mg/mL

    Buffer

    PBS (without Mg2+ and Ca2+), pH 7.4 containing 150 mM NaCl, 0.02 % sodium azide and 50 % glycerol

    Agent conservateur

    Sodium azide

    Précaution d'utilisation

    This product contains sodium azide: a POISONOUS AND HAZARDOUS SUBSTANCE which should be handled by trained staff only.

    Conseil sur la manipulation

    Avoid repeated freezing and thawing.

    Stock

    -20 °C
  • Antigène

    DAB1 (Disabled Homolog 1 (Drosophila) (DAB1))

    Autre désignation

    DAB1

    Sujet

    Disruption of DAB 1 (Disable 1) results in aberrant migration of neurons during development and disorganization of laminar structures throughout the brain. Dab1 is thought to function as an adaptor molecule in signal transduction processes. It contains a protein protein interaction (PI) similar to the phosphotyrosine binding domain of the Shc oncoprotein, it is phosphorylated by the Src protein tyrosine kinase, and it binds to SH2 binding domains in a phosphotyrosine dependent manner. DAB1 acts downstream of reelin in a signalling pathway.Synonyms: Disabled homolog 1

    ID gène

    1600

    NCBI Accession

    NP_066566

    UniProt

    O75553
Vous êtes ici:
Chat with us!