Tel:
+49 (0)241 95 163 153
Fax:
+49 (0)241 95 163 155
E-Mail:
orders@anticorps-enligne.fr

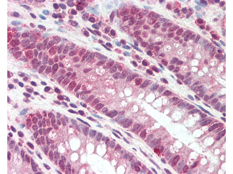
DEFB107A anticorps (AA 29-42)

Cet anticorps anti-DEFB107A Polyclonal Chèvre (ABIN1978380) détecte spécifiquement DEFB107A dans ELISA, IHC et IHC (p). L’anticorps est réactif avec des échantillons de Humain.
N° du produit ABIN1978380
512,07 €
Plus frais de livraison 40,00 € et TVA
50 μg
Destination: France
Envoi sous 15 à 20 jours ouvrables

Aperçu rapide pour DEFB107A anticorps (AA 29-42) (ABIN1978380)

Antigène

Voir toutes DEFB107A Anticorps
DEFB107A (Defensin, beta 107A (DEFB107A))

Reactivité

Humain

Hôte

  • 2
  • 1
Chèvre

Clonalité

  • 3
Polyclonal

Conjugué

  • 3
Cet anticorp DEFB107A est non-conjugé

Application

  • 2
  • 2
  • 1
  • 1
ELISA, Immunohistochemistry (IHC), Immunohistochemistry (Paraffin-embedded Sections) (IHC (p))
  • Épitope

    • 2
    • 1
    • 1
    AA 29-42

    Specificité

    Human DEFB107A/B.

    Purification

    Immunoaffinity purified

    Immunogène

    Synthetic peptide HRALISKRMEGHCE from an internal region of human DEFB107A (NP_001032757.2, NP_001035795.1). Percent identity by BLAST analysis: Human, Chimpanzee (100%), Gorilla, Orangutan, Gibbon, Monkey (93%), Marmoset (86%).

    Type of Immunogen: Synthetic peptide
  • Indications d'application

    Approved: IHC, IHC-P (5 μg/mL), Peptide-ELISA (1:32000)

    Usage: Peptide ELISA: antibody detection limit dilution 1:32000. Western blot: Not tested.

    Commentaires

    Target Species of Antibody: Human

    Restrictions

    For Research Use only
  • Format

    Liquid

    Concentration

    Lot specific

    Buffer

    Tris-buffered saline,  pH 7.3, 0.5 % BSA, 0.02 % sodium azide

    Agent conservateur

    Sodium azide

    Précaution d'utilisation

    This product contains Sodium azide: a POISONOUS AND HAZARDOUS SUBSTANCE which should be handled by trained staff only.

    Stock

    -20 °C

    Stockage commentaire

    Store at -20°C. Avoid freeze-thaw cycles.
  • Antigène

    DEFB107A (Defensin, beta 107A (DEFB107A))

    Autre désignation

    DEFB107A

    Sujet

    Name/Gene ID: DEFB107A

    Synonyms: DEFB107A, Beta-defensin 7, BD-7, DEFB-7, Defensin, beta 107A, Defensin, beta 7, DEFB107, DEFB7, Beta-defensin 107, Defensin, beta 107

    ID gène

    245910

    NCBI Accession

    NP_001032757, NP_001035795
Vous êtes ici:
Chat with us!