Tel:
+49 (0)241 95 163 153
Fax:
+49 (0)241 95 163 155
E-Mail:
orders@anticorps-enligne.fr

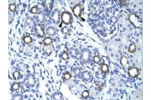
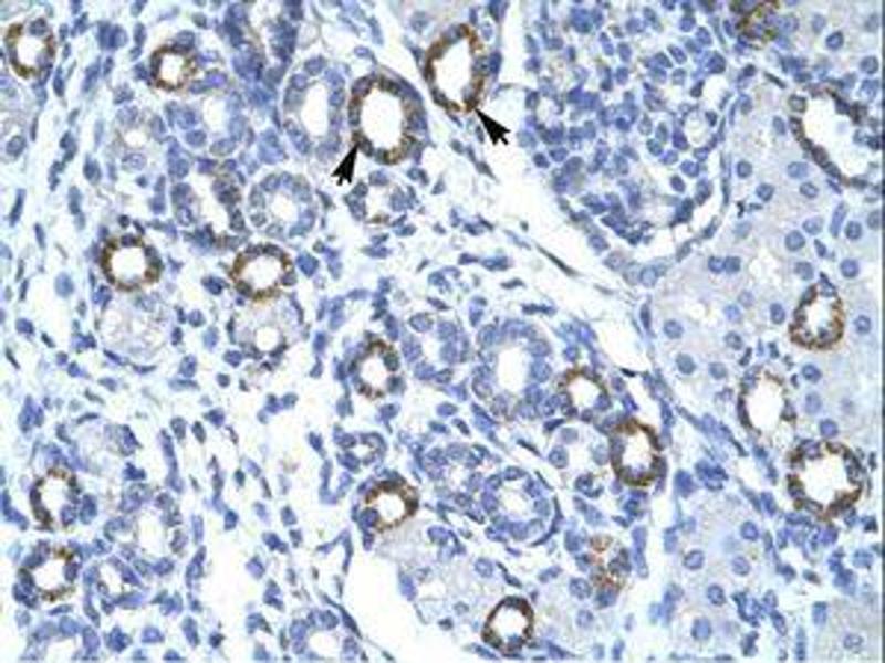
Membralin anticorps (AA 262-311)

L’anticorps anti-Membralin Polyclonal Lapin est utilisé pour la détection de Membralin dans des échantillons de Humain, Cobaye, Rat, Chien, Boeuf (Vache), Roussette (Chauve-souris), Poulet, Singe et Xenopus laevis. Il a été validé pour WB, IHC (p) et IHC.
N° du produit ABIN202454
741,67 €
Plus frais de livraison 40,00 € et TVA
100 μL
Destination: France
Envoi sous 15 à 20 jours ouvrables

Aperçu rapide pour Membralin anticorps (AA 262-311) (ABIN202454)

Antigène

Membralin (TMEM259) (Transmembrane Protein 259 (TMEM259))

Reactivité

Humain, Cobaye, Rat, Chien, Boeuf (Vache), Roussette (Chauve-souris), Poulet, Singe, Xenopus laevis

Hôte

  • 21
Lapin

Clonalité

  • 21
Polyclonal

Conjugué

  • 7
  • 1
  • 1
  • 1
  • 1
  • 1
  • 1
  • 1
  • 1
  • 1
  • 1
  • 1
  • 1
  • 1
  • 1
Cet anticorp Membralin est non-conjugé

Application

  • 21
  • 13
  • 13
  • 5
  • 4
  • 3
  • 2
  • 1
Western Blotting (WB), Immunohistochemistry (Paraffin-embedded Sections) (IHC (p)), Immunohistochemistry (IHC)
  • Épitope

    • 15
    • 2
    • 1
    AA 262-311

    Specificité

    Human C19orf6 / Membralin

    Homologie

    Percent identity by BLAST analysis: Human, Bovine, Guinea pig, Chicken, Xenopus (100%) Dog (86%).

    Purification

    Protein A purified

    Immunogène

    Synthetic peptide located between aa262-311 of human TMEM259 (Q4ZIN3-2, NP_219488). Percent identity by BLAST analysis: Human, Chimpanzee, Gorilla, Gibbon, Monkey, Galago, Mouse, Rat, Panda, Bovine, Bat, Opossum, Guinea pig, Turkey, Zebra finch, Chicken, Xenopus, Stickleback (100%), Dog (86%).

    Type of Immunogen: Synthetic peptide

    Isotype

    IgG
  • Indications d'application

    Approved: IHC, IHC-P, WB (1 μg/mL)

    Commentaires

    Target Species of Antibody: Human

    Restrictions

    For Research Use only
  • Format

    Lyophilized

    Reconstitution

    After adding water, will consist of PBS buffer with 2 % sucrose

    Concentration

    Lot specific

    Buffer

    Lyophilized from PBS with 2 % sucrose

    Conseil sur la manipulation

    Avoid repeat freeze-thaw cycles.

    Stock

    4 °C,-20 °C

    Stockage commentaire

    Long term: -20°C, the use of 50% glycerol is recommended if storing aliquots in -20°C for long term use (up to 1 year)
    Short term (less than 1 week): 4°C. Avoid freeze-thaw cycles.
  • Antigène

    Membralin (TMEM259) (Transmembrane Protein 259 (TMEM259))

    Autre désignation

    TMEM259 / Membralin

    Sujet

    Name/Gene ID: TMEM259

    Synonyms: TMEM259, ASBABP1, C19orf6, MBRL, Membralin, R32184_3

    ID gène

    91304

    NCBI Accession

    NP_219488

    UniProt

    Q4ZIN3
Vous êtes ici:
Chat with us!