Tel:
+49 (0)241 95 163 153
Fax:
+49 (0)241 95 163 155
E-Mail:
orders@anticorps-enligne.fr

TRIM3 anticorps (AA 225-274)

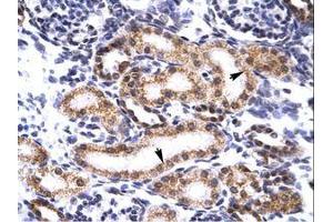
Cet anticorps anti-TRIM3 Polyclonal Lapin (ABIN202896) détecte spécifiquement TRIM3 dans WB, IHC et IHC (p). L’anticorps est réactif avec des échantillons de Humain et Lapin.
N° du produit ABIN202896
741,67 €
Plus frais de livraison 40,00 € et TVA
100 μL
Destination: France
Envoi sous 15 à 20 jours ouvrables

Aperçu rapide pour TRIM3 anticorps (AA 225-274) (ABIN202896)

Antigène

Voir toutes TRIM3 Anticorps
TRIM3 (Tripartite Motif Containing 3 (TRIM3))

Reactivité

  • 48
  • 36
  • 35
  • 6
  • 6
  • 6
  • 5
  • 4
  • 2
  • 1
  • 1
  • 1
  • 1
Humain, Lapin

Hôte

  • 47
  • 1
Lapin

Clonalité

  • 48
Polyclonal

Conjugué

  • 24
  • 3
  • 2
  • 2
  • 1
  • 1
  • 1
  • 1
  • 1
  • 1
  • 1
  • 1
  • 1
  • 1
  • 1
  • 1
  • 1
  • 1
  • 1
  • 1
  • 1
Cet anticorp TRIM3 est non-conjugé

Application

  • 30
  • 13
  • 13
  • 13
  • 8
  • 7
  • 5
  • 3
  • 1
  • 1
Western Blotting (WB), Immunohistochemistry (IHC), Immunohistochemistry (Paraffin-embedded Sections) (IHC (p))
  • Épitope

    • 5
    • 5
    • 4
    • 2
    • 2
    • 1
    • 1
    • 1
    • 1
    • 1
    • 1
    • 1
    AA 225-274

    Specificité

    Human TRIM3

    Homologie

    Percent identity by BLAST analysis: Human (100%) Mouse, Rat, Dog, Bovine, Horse (92%).

    Purification

    Protein A purified

    Immunogène

    Synthetic peptide located between aa225-274 of human TRIM3 (Q6ZTE7, NP_006449). Percent identity by BLAST analysis: Human, Chimpanzee, Elephant, Rabbit (100%), Gorilla, Gibbon, Monkey, Galago, Marmoset, Mouse, Rat, Hamster, Panda, Dog, Bovine, Horse, Guinea pig, Platypus (92%), Bat, Pig, Zebrafish (91%), Opossum (85%), Turkey, Zebra finch, Chicken, Lizard, Xenopus (83%).

    Type of Immunogen: Synthetic peptide

    Isotype

    IgG
  • Indications d'application

    Approved: IHC, IHC-P, WB (1 μg/mL)

    Commentaires

    Target Species of Antibody: Human

    Restrictions

    For Research Use only
  • Format

    Lyophilized

    Reconstitution

    After adding water, will consist of PBS buffer with 2 % sucrose

    Concentration

    Lot specific

    Buffer

    Lyophilized from PBS with 2 % sucrose

    Conseil sur la manipulation

    Avoid repeat freeze-thaw cycles.

    Stock

    4 °C,-20 °C

    Stockage commentaire

    Long term: -20°C, the use of 50% glycerol is recommended if storing aliquots in -20°C for long term use (up to 1 year)
    Short term (less than 1 week): 4°C. Avoid freeze-thaw cycles.
  • Antigène

    TRIM3 (Tripartite Motif Containing 3 (TRIM3))

    Autre désignation

    TRIM3

    Sujet

    Name/Gene ID: TRIM3
    Family: Tripartite Motif

    Synonyms: TRIM3, BERP, Brain expressed ring finger, Tripartite motif containing 3, Tripartite motif protein TRIM3, RING finger protein 97, RNF22, RNF97, HAC1, RING finger protein 22, Tripartite motif-containing 3

    ID gène

    10612

    NCBI Accession

    NP_006449

    UniProt

    O75382
Vous êtes ici:
Chat with us!