Tel:
+49 (0)241 95 163 153
Fax:
+49 (0)241 95 163 155
E-Mail:
orders@anticorps-enligne.fr

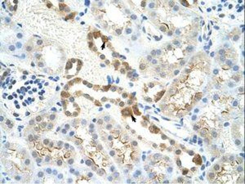
MYBBP1A anticorps (AA 1201-1250)

Cet anticorps Lapin Polyclonal détecte spécifiquement MYBBP1A dans WB et IHC. Il présente une réactivité avec des échantillons de Souris.
N° du produit ABIN202984
741,67 €
Plus frais de livraison 40,00 € et TVA
100 μL
Destination: France
Envoi sous 15 à 20 jours ouvrables

Aperçu rapide pour MYBBP1A anticorps (AA 1201-1250) (ABIN202984)

Antigène

Voir toutes MYBBP1A Anticorps
MYBBP1A (Myb-Binding Protein 1A (MYBBP1A))

Reactivité

  • 68
  • 9
  • 8
  • 2
  • 1
  • 1
  • 1
  • 1
Souris

Hôte

  • 66
  • 6
Lapin

Clonalité

  • 50
  • 22
Polyclonal

Conjugué

  • 31
  • 4
  • 3
  • 3
  • 3
  • 3
  • 3
  • 3
  • 2
  • 2
  • 1
  • 1
  • 1
  • 1
  • 1
  • 1
  • 1
  • 1
  • 1
  • 1
  • 1
  • 1
  • 1
  • 1
  • 1
Cet anticorp MYBBP1A est non-conjugé

Application

  • 54
  • 20
  • 18
  • 16
  • 13
  • 13
  • 13
  • 12
  • 5
  • 4
  • 3
  • 1
Western Blotting (WB), Immunohistochemistry (IHC)
  • Épitope

    • 15
    • 9
    • 4
    • 3
    • 3
    • 3
    • 2
    • 1
    • 1
    • 1
    • 1
    • 1
    • 1
    AA 1201-1250

    Specificité

    Mouse MYBBP1A

    Homologie

    Percent identity by BLAST analysis: Mouse (100%).

    Purification

    Protein A purified

    Immunogène

    Synthetic peptide located between aa1201-1250 of mouse MYBBP1A (Q7TPV4, NP_058056). Percent identity by BLAST analysis: Mouse (100%), Rat (91%).

    Type of Immunogen: Synthetic peptide

    Isotype

    IgG
  • Indications d'application

    Approved: IHC, WB (1.25 μg/mL)

    Commentaires

    Target Species of Antibody: Mouse

    Restrictions

    For Research Use only
  • Format

    Lyophilized

    Reconstitution

    After adding water, will consist of PBS buffer with 2 % sucrose

    Concentration

    Lot specific

    Buffer

    Lyophilized from PBS with 2 % sucrose

    Conseil sur la manipulation

    Avoid repeat freeze-thaw cycles.

    Stock

    4 °C,-20 °C

    Stockage commentaire

    Long term: -20°C, the use of 50% glycerol is recommended if storing aliquots in -20°C for long term use (up to 1 year)
    Short term (less than 1 week): 4°C. Avoid freeze-thaw cycles.
  • Antigène

    MYBBP1A (Myb-Binding Protein 1A (MYBBP1A))

    Autre désignation

    MYBBP1A

    Sujet

    Name/Gene ID: MYBBP1A

    Synonyms: MYBBP1A, PAP2, p53-activated protein-2, MYB binding protein (P160) 1a, p160, Myb-binding protein 1A

    ID gène

    10514

    NCBI Accession

    NP_058056

    UniProt

    Q9BQG0
Vous êtes ici:
Chat with us!