ZBTB38 anticorps (N-Term)
Aperçu rapide pour ZBTB38 anticorps (N-Term) (ABIN203007)
Antigène
Voir toutes ZBTB38 AnticorpsReactivité
Hôte
Clonalité
Conjugué
Application
-
-
Épitope
- N-Term
-
Specificité
- Human ZBTB38
-
Homologie
- Percent identity by BLAST analysis: Human, Mouse, Horse, Pig, Guinea pig (100%) Chicken (91%) Rabbit (90%) Bovine (85%).
-
Purification
- Protein A purified
-
Immunogène
-
Synthetic peptide from N-Terminus of human ZBTB38 (Q8NAP3). Percent identity by BLAST analysis: Human, Chimpanzee, Gorilla, Gibbon, Monkey, Marmoset, Mouse, Rat, Horse, Pig, Guinea pig, Lizard (100%), Galago, Panda, Bat (92%), Opossum, Zebra finch, Chicken (91%), Rabbit (90%), Bovine (85%).
Type of Immunogen: Synthetic peptide -
Isotype
- IgG
-
-
-
-
Indications d'application
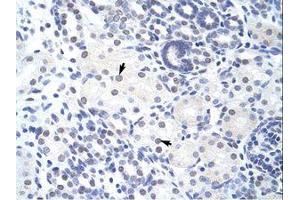
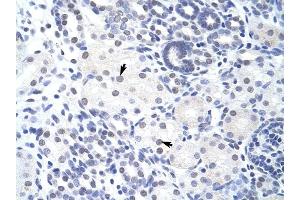
- Approved: IHC, IHC-P, WB (2.5 μg/mL)
-
Commentaires
-
Target Species of Antibody: Human
-
Restrictions
- For Research Use only
-
-
-
Format
- Lyophilized
-
Reconstitution
- Distilled water
-
Concentration
- Lot specific
-
Buffer
- Lyophilized from PBS with 2 % sucrose
-
Conseil sur la manipulation
- Avoid repeat freeze-thaw cycles.
-
Stock
- 4 °C,-20 °C
-
Stockage commentaire
-
Long term: -20°C, the use of 50% glycerol is recommended if storing aliquots in -20°C for long term use (up to 1 year)
Short term (less than 1 week): 4°C. Avoid freeze-thaw cycles.
-
-
- ZBTB38 (Zinc Finger and BTB Domain Containing 38 (ZBTB38))
-
Autre désignation
- ZBTB38
-
Sujet
-
Name/Gene ID: ZBTB38
Synonyms: ZBTB38, CIBZ, ZNF921 -
ID gène
- 253461
-
UniProt
- Q8NAP3
Antigène
-