Tel:
+49 (0)241 95 163 153
Fax:
+49 (0)241 95 163 155
E-Mail:
orders@anticorps-enligne.fr

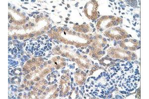
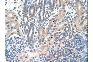
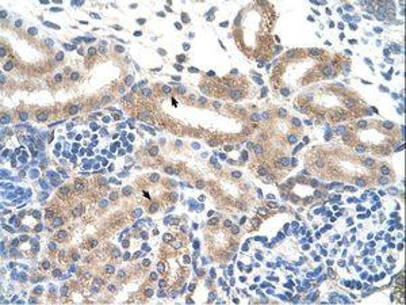
FAM174B anticorps (N-Term)

L’anticorps anti-FAM174B Polyclonal Lapin est utilisé pour la détection de FAM174B dans des échantillons de Humain. Il a été validé pour IHC, WB et IHC (p).
N° du produit ABIN203450
741,67 €
Plus frais de livraison 40,00 € et TVA
100 μL
Destination: France
Envoi sous 15 à 20 jours ouvrables

Aperçu rapide pour FAM174B anticorps (N-Term) (ABIN203450)

Antigène

FAM174B (Family with Sequence Similarity 174, Member B (FAM174B))

Reactivité

  • 5
  • 3
  • 2
  • 2
  • 2
  • 2
  • 1
  • 1
  • 1
  • 1
  • 1
  • 1
  • 1
Humain

Hôte

  • 5
Lapin

Clonalité

  • 5
Polyclonal

Conjugué

  • 5
Cet anticorp FAM174B est non-conjugé

Application

  • 5
  • 5
  • 2
  • 1
Immunohistochemistry (IHC), Western Blotting (WB), Immunohistochemistry (Paraffin-embedded Sections) (IHC (p))
  • Épitope

    • 2
    • 1
    N-Term

    Specificité

    Human FAM174B

    Homologie

    Percent identity by BLAST analysis: Human (100%).

    Purification

    Protein A purified

    Immunogène

    Synthetic peptide from N-Terminus of human FAM174B (Q3ZCQ3, NP_997329). Percent identity by BLAST analysis: Human, Gorilla (100%), Gibbon, Monkey (92%), Marmoset (85%).

    Type of Immunogen: Synthetic peptide

    Isotype

    IgG
  • Indications d'application

    Approved: IHC, IHC-P, WB (2.5 μg/mL)

    Commentaires

    Target Species of Antibody: Human

    Restrictions

    For Research Use only
  • Format

    Lyophilized

    Reconstitution

    After adding water, will consist of PBS buffer with 2 % sucrose

    Concentration

    Lot specific

    Buffer

    Lyophilized from PBS with 2 % sucrose

    Conseil sur la manipulation

    Avoid repeat freeze-thaw cycles.

    Stock

    4 °C,-20 °C

    Stockage commentaire

    Long term: -20°C, the use of 50% glycerol is recommended if storing aliquots in -20°C for long term use (up to 1 year)
    Short term (less than 1 week): 4°C. Avoid freeze-thaw cycles.
  • Antigène

    FAM174B (Family with Sequence Similarity 174, Member B (FAM174B))

    Autre désignation

    FAM174B

    Sujet

    Name/Gene ID: FAM174B

    Synonyms: FAM174B, LOC400451, Membrane protein FAM174B

    ID gène

    400451

    NCBI Accession

    NP_997329

    UniProt

    Q3ZCQ3
Vous êtes ici:
Chat with us!