ADH1B anticorps (AA 301-350)
Aperçu rapide pour ADH1B anticorps (AA 301-350) (ABIN203498)
Antigène
Voir toutes ADH1B AnticorpsReactivité
Hôte
Clonalité
Conjugué
Application
-
-
Épitope
- AA 301-350
-
Specificité
- Human ADH1B
-
Homologie
- Percent identity by BLAST analysis: Human (100%).
-
Purification
- Protein A purified
-
Immunogène
-
Synthetic peptide located between aa301-350 of human ADH1B (P00325, NP_000659). Percent identity by BLAST analysis: Human, Chimpanzee, Gorilla, Gibbon (100%), Baboon, Monkey (92%), Orangutan, Marmoset (85%), Mouse, Rat (78%).
Type of Immunogen: Synthetic peptide -
Isotype
- IgG
-
-
-
-
Indications d'application
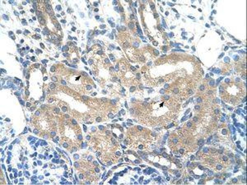
- Approved: IHC, IHC-P, WB (1.25 μg/mL)
-
Commentaires
-
Target Species of Antibody: Human
-
Restrictions
- For Research Use only
-
-
-
Format
- Lyophilized
-
Reconstitution
- After adding water, will consist of PBS buffer with 2 % sucrose
-
Concentration
- Lot specific
-
Buffer
- Lyophilized from PBS with 2 % sucrose
-
Conseil sur la manipulation
- Avoid repeat freeze-thaw cycles.
-
Stock
- 4 °C,-20 °C
-
Stockage commentaire
-
Long term: -20°C, the use of 50% glycerol is recommended if storing aliquots in -20°C for long term use (up to 1 year)
Short term (less than 1 week): 4°C. Avoid freeze-thaw cycles.
-
-
-