Tel:
+49 (0)241 95 163 153
Fax:
+49 (0)241 95 163 155
E-Mail:
orders@anticorps-enligne.fr

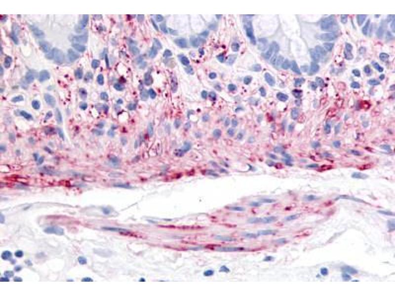
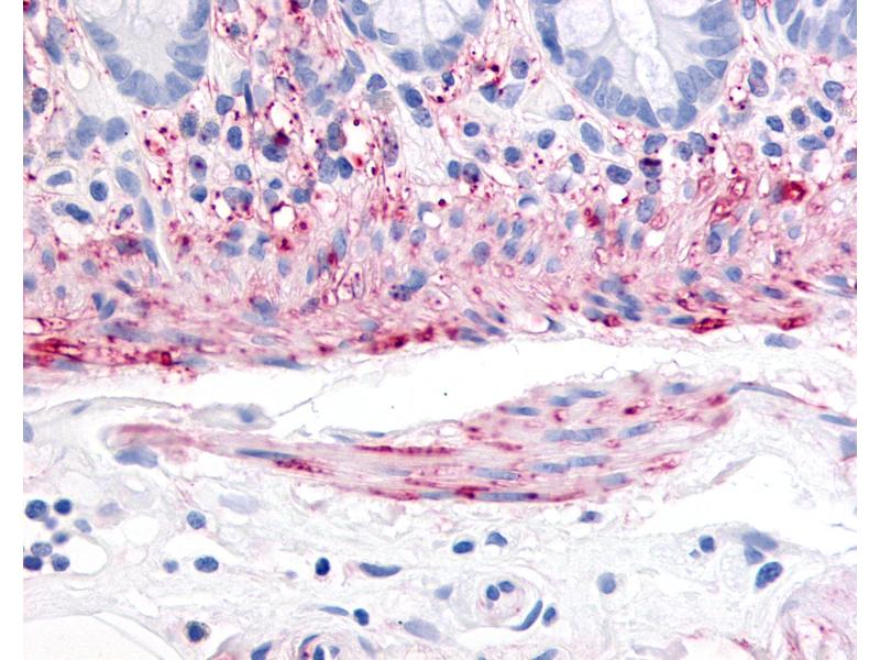
TACR2 anticorps (Extracellular Domain)

Cet anticorps anti-TACR2 Polyclonal Lapin (ABIN213477) détecte spécifiquement TACR2 dans ELISA, IHC et IHC (p). L’anticorps est réactif avec des échantillons de Humain.
N° du produit ABIN213477
534,81 €
Plus frais de livraison 40,00 € et TVA
50 μg
Destination: France
Envoi sous 15 à 20 jours ouvrables

Aperçu rapide pour TACR2 anticorps (Extracellular Domain) (ABIN213477)

Antigène

Voir toutes TACR2 Anticorps
TACR2 (Tachykinin Receptor 2 (TACR2))

Reactivité

  • 29
  • 26
  • 23
  • 4
  • 3
  • 3
  • 1
Humain

Hôte

  • 45
  • 1
  • 1
Lapin

Clonalité

  • 46
  • 1
Polyclonal

Conjugué

  • 22
  • 2
  • 1
  • 1
  • 1
  • 1
  • 1
  • 1
  • 1
  • 1
  • 1
  • 1
  • 1
  • 1
  • 1
  • 1
  • 1
  • 1
  • 1
  • 1
  • 1
  • 1
  • 1
  • 1
  • 1
Cet anticorp TACR2 est non-conjugé

Application

  • 33
  • 14
  • 13
  • 13
  • 11
  • 7
  • 5
  • 4
  • 4
  • 3
  • 1
  • 1
ELISA, Immunohistochemistry (IHC), Immunohistochemistry (Paraffin-embedded Sections) (IHC (p))
  • Épitope

    • 15
    • 3
    • 2
    • 2
    • 1
    • 1
    • 1
    • 1
    • 1
    • 1
    • 1
    • 1
    • 1
    • 1
    • 1
    Extracellular Domain

    Specificité

    Human Neurokinin A Receptor. BLAST analysis of the peptide immunogen showed no homology with other human proteins.

    Homologie

    Percent identity with other species by BLAST analysis: Human, Gibbon, Monkey (100%) Gorilla, Marmoset, Rabbit (95%) Horse, Pig (90%) Bovine, Bat, Dog, Elephant, Guinea pig (85%) Mouse, Hamster, Panda (80%).

    Purification

    Immunoaffinity purified

    Immunogène

    Synthetic 20 amino acid peptide from 2nd extracellular domain of human Neurokinin A Receptor. Percent identity with other species by BLAST analysis: Human, Gibbon, Monkey (100%), Gorilla, Marmoset, Rabbit (95%), Horse, Pig (90%), Bovine, Bat, Dog, Elephant, Guinea pig (85%), Mouse, Hamster, Panda (80%).

    Type of Immunogen: Synthetic peptide
  • Indications d'application

    Approved: ELISA, IHC, IHC-P (20 μg/mL)

    Usage: Immunohistochemistry: This antibody was validated for use in immunohistochemistry on a panel of 21 formalin-fixed, paraffin-embedded (FFPE) human tissues after heat induced antigen retrieval in  pH 6.0 citrate buffer. After incubation with the primary antibody, slides were incubated with biotinylated secondary antibody, followed by alkaline phosphatase-streptavidin and chromogen. The stained slides were evaluated by a pathologist to confirm staining specificity. The optimal working concentration for this antibody was determined to be 20 μg/mL.

    Commentaires

    Target Species of Antibody: Human

    Restrictions

    For Research Use only
  • Format

    Liquid

    Concentration

    Lot specific

    Buffer

    PBS, less than 0.1 % sodium azide.

    Agent conservateur

    Sodium azide

    Précaution d'utilisation

    This product contains Sodium azide: a POISONOUS AND HAZARDOUS SUBSTANCE which should be handled by trained staff only.

    Stock

    4 °C,-20 °C

    Stockage commentaire

    Aliquot and store undiluted at -20°C or below for up to 1 year. Can be stored undiluted at 4°C for up to 1 month. Avoid freeze-thaw cycles.

    Date de péremption

    12 months
  • Antigène

    TACR2 (Tachykinin Receptor 2 (TACR2))

    Autre désignation

    TACR2 / Nk2 / NK2R

    Sujet

    Name/Gene ID: TACR2
    Subfamily: Tachykinin
    Family: GPCR

    Synonyms: TACR2, Neurokinin 2 receptor, NK-2 receptor, Neurokinin A receptor, NK2, NK2R, Tachykinin receptor 2, Substance-K receptor, NK-2R, SK receptor, SKR, TAC2R, NKNAR, Substance K receptor

    ID gène

    6865

    Pathways

    Hormone Transport, Negative Regulation of Hormone Secretion
Vous êtes ici:
Chat with us!