Tel:
+49 (0)241 95 163 153
Fax:
+49 (0)241 95 163 155
E-Mail:
orders@anticorps-enligne.fr

PDE7B anticorps (C-Term)

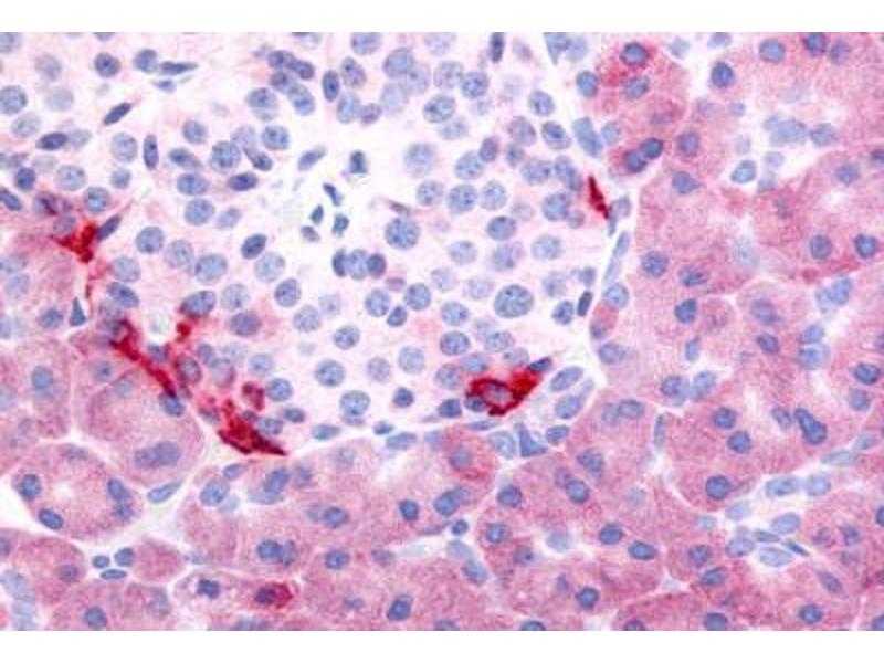
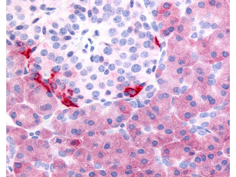
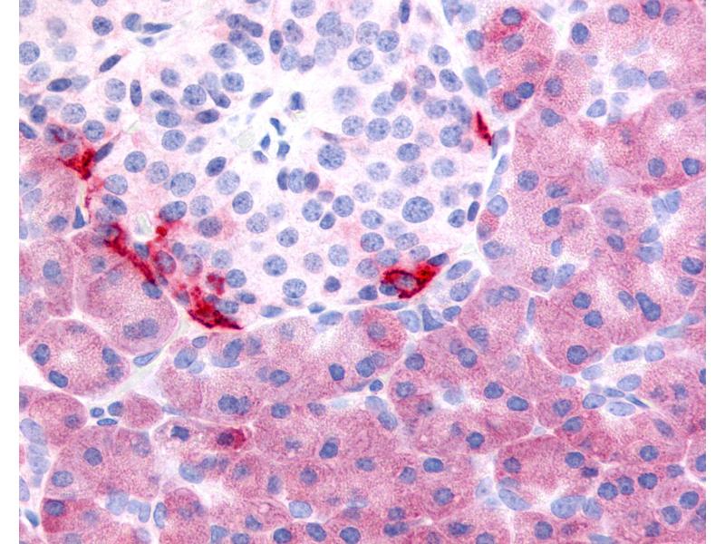
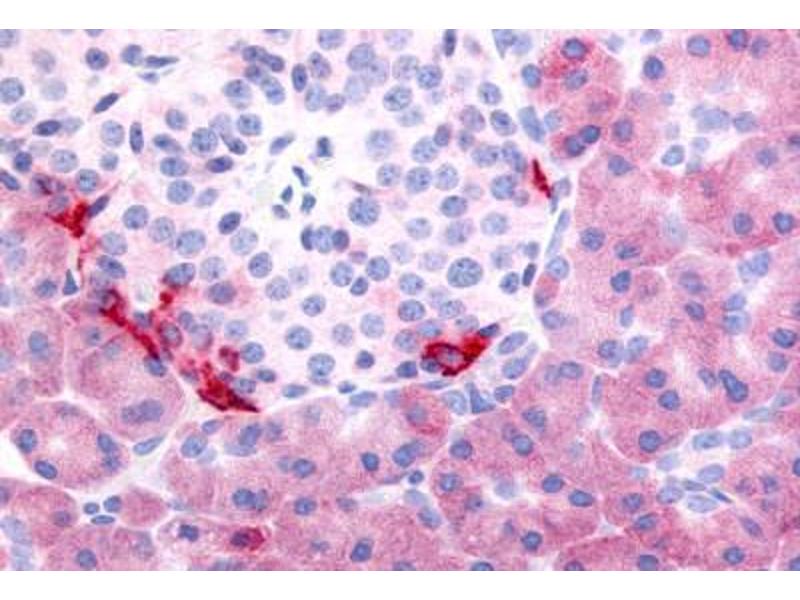
L’anticorps anti-PDE7B Polyclonal Lapin est utilisé pour la détection de PDE7B dans des échantillons de Humain. Il a été validé pour IHC et IHC (p).
N° du produit ABIN213533
534,81 €
Plus frais de livraison 40,00 € et TVA
50 μg
Destination: France
Envoi sous 15 à 20 jours ouvrables

Aperçu rapide pour PDE7B anticorps (C-Term) (ABIN213533)

Antigène

Voir toutes PDE7B Anticorps
PDE7B (phosphodiesterase 7B (PDE7B))

Reactivité

  • 41
  • 20
  • 20
  • 3
  • 2
  • 2
  • 2
  • 2
  • 1
  • 1
  • 1
  • 1
Humain

Hôte

  • 39
  • 2
Lapin

Clonalité

  • 41
Polyclonal

Conjugué

  • 17
  • 4
  • 4
  • 2
  • 2
  • 1
  • 1
  • 1
  • 1
  • 1
  • 1
  • 1
  • 1
  • 1
  • 1
  • 1
  • 1
Cet anticorp PDE7B est non-conjugé

Application

  • 39
  • 17
  • 14
  • 13
  • 13
  • 6
  • 5
  • 5
  • 4
  • 3
  • 3
  • 3
  • 1
Immunohistochemistry (IHC), Immunohistochemistry (Paraffin-embedded Sections) (IHC (p))
  • Épitope

    • 16
    • 8
    • 3
    • 3
    • 2
    • 1
    • 1
    • 1
    • 1
    • 1
    C-Term

    Specificité

    Human PDE7B. BLAST analysis of the peptide immunogen showed no homology with other human proteins.

    Homologie

    Percent identity with other species by BLAST analysis: Human, Gorilla, Gibbon, Monkey (100%) Marmoset (95%).

    Purification

    Immunoaffinity purified

    Immunogène

    Synthetic 19 amino acid peptide from C-terminus of human PDE7B. Percent identity with other species by BLAST analysis: Human, Gorilla, Gibbon, Monkey (100%), Marmoset (95%).

    Type of Immunogen: Synthetic peptide
  • Indications d'application

    Approved: IHC, IHC-P (5 μg/mL)

    Usage: Immunohistochemistry: This antibody was validated for use in immunohistochemistry on a panel of 21 formalin-fixed, paraffin-embedded (FFPE) human tissues after heat induced antigen retrieval in  pH 6.0 citrate buffer. After incubation with the primary antibody, slides were incubated with biotinylated secondary antibody, followed by alkaline phosphatase-streptavidin and chromogen. The stained slides were evaluated by a pathologist to confirm staining specificity. The optimal working concentration for this antibody was determined to be 5 μg/mL.

    Commentaires

    Target Species of Antibody: Human

    Restrictions

    For Research Use only
  • Format

    Liquid

    Concentration

    Lot specific

    Buffer

    PBS, less than 0.1 % sodium azide.

    Agent conservateur

    Sodium azide

    Précaution d'utilisation

    This product contains Sodium azide: a POISONOUS AND HAZARDOUS SUBSTANCE which should be handled by trained staff only.

    Stock

    4 °C,-20 °C

    Stockage commentaire

    Aliquot and store undiluted at -20°C or below for up to 1 year. Can be stored undiluted at 4°C for up to 1 month. Avoid freeze-thaw cycles.

    Date de péremption

    12 months
  • Antigène

    PDE7B (phosphodiesterase 7B (PDE7B))

    Autre désignation

    PDE7B

    Sujet

    Name/Gene ID: PDE7B
    Subfamily: PDE - cAMP-specific
    Family: Phosphodiesterase

    Synonyms: PDE7B, BA472E5.1, Phosphodiesterase 7B

    ID gène

    27115

    Pathways

    cAMP Metabolic Process
Vous êtes ici:
Chat with us!