Tel:
+49 (0)241 95 163 153
Fax:
+49 (0)241 95 163 155
E-Mail:
orders@anticorps-enligne.fr

BACE1 anticorps (C-Term)

L’anticorps anti-BACE1 Polyclonal Lapin est utilisé pour la détection de BACE1 dans des échantillons de Humain et Singe. Il a été validé pour IHC et IHC (p).
N° du produit ABIN213581
534,81 €
Plus frais de livraison 40,00 € et TVA
50 μg
Destination: France
Envoi sous 15 à 20 jours ouvrables

Aperçu rapide pour BACE1 anticorps (C-Term) (ABIN213581)

Antigène

Voir toutes BACE1 Anticorps
BACE1 (Beta-secretase 1 (BACE1))

Reactivité

  • 98
  • 65
  • 54
  • 6
  • 4
  • 4
  • 4
  • 4
  • 4
  • 4
  • 3
  • 3
  • 3
  • 1
  • 1
  • 1
Humain, Singe

Hôte

  • 87
  • 13
  • 2
  • 1
  • 1
Lapin

Clonalité

  • 72
  • 32
Polyclonal

Conjugué

  • 64
  • 5
  • 4
  • 3
  • 2
  • 2
  • 2
  • 2
  • 2
  • 2
  • 2
  • 1
  • 1
  • 1
  • 1
  • 1
  • 1
  • 1
  • 1
  • 1
  • 1
  • 1
  • 1
  • 1
  • 1
Cet anticorp BACE1 est non-conjugé

Application

  • 80
  • 36
  • 32
  • 24
  • 20
  • 13
  • 13
  • 11
  • 11
  • 10
  • 3
  • 3
  • 3
  • 2
  • 2
  • 1
  • 1
  • 1
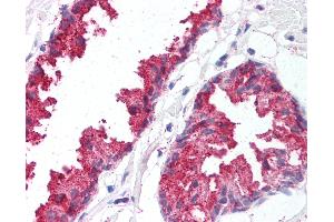
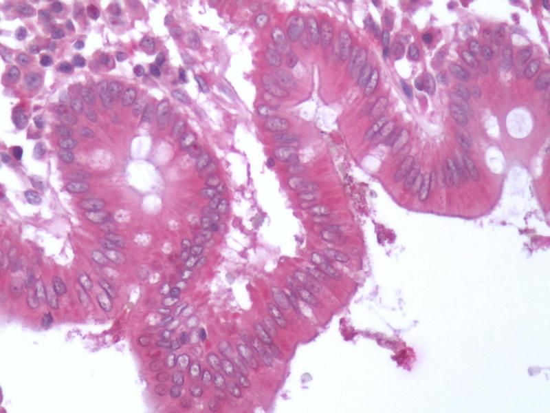
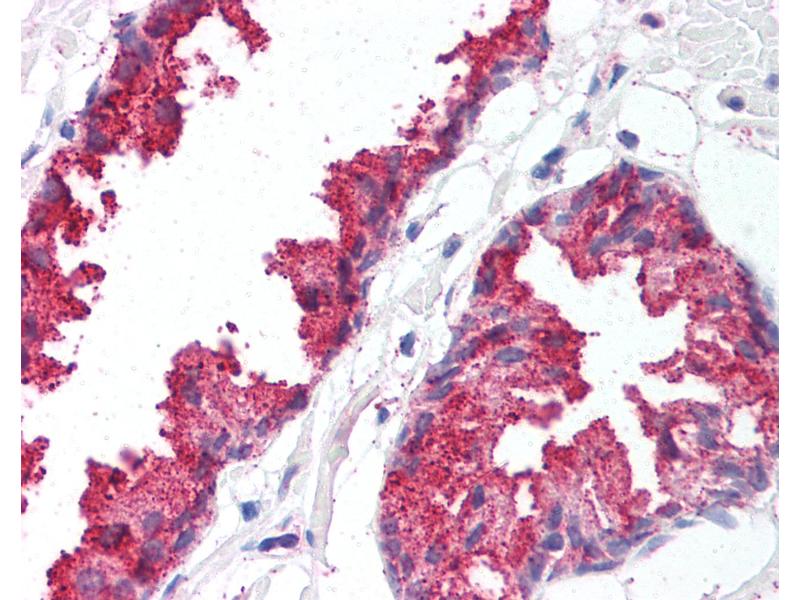
Immunohistochemistry (IHC), Immunohistochemistry (Paraffin-embedded Sections) (IHC (p))
  • Épitope

    • 16
    • 13
    • 7
    • 5
    • 4
    • 4
    • 3
    • 2
    • 2
    • 2
    • 2
    • 1
    • 1
    • 1
    • 1
    • 1
    • 1
    • 1
    • 1
    • 1
    • 1
    • 1
    • 1
    • 1
    • 1
    • 1
    • 1
    • 1
    • 1
    C-Term

    Specificité

    Human BACE1. BLAST analysis of the peptide immunogen showed no homology with other human proteins, except CPD (39 % ).

    Homologie

    Percent identity with other species by BLAST analysis: Human, Gorilla, Gibbon, Monkey, Marmoset (100%) Mouse, Rat, Dog, Bat, Bovine, Hamster, Elephant, Panda, Horse, Rabbit, Pig, Guinea pig (94%) Opossum (89%) Turkey, Chicken, Platypus (83%).

    Purification

    Immunoaffinity purified

    Immunogène

    Synthetic 18 amino acid peptide from C-terminus of human BACE1. Percent identity with other species by BLAST analysis: Human, Gorilla, Gibbon, Monkey, Marmoset (100%), Mouse, Rat, Dog, Bat, Bovine, Hamster, Elephant, Panda, Horse, Rabbit, Pig, Guinea pig (94%), Opossum (89%), Turkey, Chicken, Platypus (83%).

    Type of Immunogen: Synthetic peptide
  • Indications d'application

    Approved: IHC, IHC-P (2.5 - 5 μg/mL)

    Usage: Immunohistochemistry: This antibody was validated for use in immunohistochemistry on a panel of 21 formalin-fixed, paraffin-embedded (FFPE) human tissues after heat induced antigen retrieval in  pH 6.0 citrate buffer. After incubation with the primary antibody, slides were incubated with biotinylated secondary antibody, followed by alkaline phosphatase-streptavidin and chromogen. The stained slides were evaluated by a pathologist to confirm staining specificity. The optimal working concentration for this antibody was determined to be 5 μg/mL.

    Commentaires

    Target Species of Antibody: Human

    Restrictions

    For Research Use only
  • Format

    Liquid

    Concentration

    Lot specific

    Buffer

    PBS, less than 0.1 % sodium azide.

    Agent conservateur

    Sodium azide

    Précaution d'utilisation

    This product contains Sodium azide: a POISONOUS AND HAZARDOUS SUBSTANCE which should be handled by trained staff only.

    Stock

    4 °C,-20 °C

    Stockage commentaire

    Aliquot and store undiluted at -20°C or below for up to 1 year. Can be stored undiluted at 4°C for up to 1 month. Avoid freeze-thaw cycles.

    Date de péremption

    12 months
  • Antigène

    BACE1 (Beta-secretase 1 (BACE1))

    Autre désignation

    BACE1 / BACE

    Sujet

    Name/Gene ID: BACE1
    Subfamily: Aspartic A1
    Family: Protease

    Synonyms: BACE1, APP beta-secretase, Asp 2, ASP2, Aspartyl protease 2, Aspartylprotease 2, Beta-secretase, Beta-site APP-cleaving enzyme, BACE, HSPC104, KIAA1149, B-Secretase, Beta-secretase 1, Memapsin-2

    ID gène

    23621
Vous êtes ici:
Chat with us!