UCHL3 anticorps (Internal Region)
Aperçu rapide pour UCHL3 anticorps (Internal Region) (ABIN213583)
Antigène
Voir toutes UCHL3 (Uchl3) AnticorpsReactivité
Hôte
Clonalité
Conjugué
Application
-
-
Épitope
- Internal Region
-
Specificité
- Human UCHL3. BLAST analysis of the peptide immunogen showed no homology with other human proteins.
-
Homologie
- Percent identity with other species by BLAST analysis: Human, Gorilla, Gibbon, Mouse, Rat, Dog, Elephant, Opossum, Turkey, Chicken, Lizard (100%) Orangutan, Monkey, Bovine, Horse, Rabbit, Pig, Salmon (94%) Pufferfish, Zebrafish, Stickleback, Water flea (89%) Xenopus (83%).
-
Purification
- Immunoaffinity purified
-
Immunogène
-
Synthetic 18 amino acid peptide from internal region of human UCHL3. Percent identity with other species by BLAST analysis: Human, Gorilla, Gibbon, Mouse, Rat, Dog, Elephant, Opossum, Turkey, Chicken, Lizard (100%), Orangutan, Monkey, Bovine, Horse, Rabbit, Pig, Salmon (94%), Pufferfish, Zebrafish, Stickleback, Water flea (89%), Xenopus (83%).
Type of Immunogen: Synthetic peptide
-
-
-
-
Indications d'application
-
Approved: IHC, IHC-P (5 - 10 μg/mL)
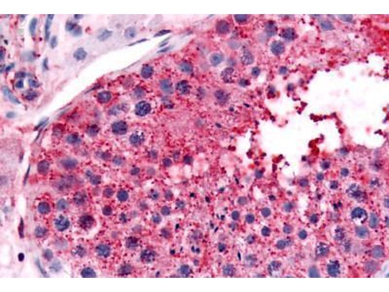
Usage: Immunohistochemistry: This antibody was validated for use in immunohistochemistry on a panel of 21 formalin-fixed, paraffin-embedded (FFPE) human tissues after heat induced antigen retrieval in pH 6.0 citrate buffer. After incubation with the primary antibody, slides were incubated with biotinylated secondary antibody, followed by alkaline phosphatase-streptavidin and chromogen. The stained slides were evaluated by a pathologist to confirm staining specificity. The optimal working concentration for this antibody was determined to be 10 μg/mL. -
Commentaires
-
Target Species of Antibody: Human
-
Restrictions
- For Research Use only
-
-
-
Format
- Liquid
-
Concentration
- Lot specific
-
Buffer
- PBS, less than 0.1 % sodium azide.
-
Agent conservateur
- Sodium azide
-
Précaution d'utilisation
- This product contains Sodium azide: a POISONOUS AND HAZARDOUS SUBSTANCE which should be handled by trained staff only.
-
Stock
- 4 °C,-20 °C
-
Stockage commentaire
- Aliquot and store undiluted at -20°C or below for up to 1 year. Can be stored undiluted at 4°C for up to 1 month. Avoid freeze-thaw cycles.
-
Date de péremption
- 12 months
-
-
- UCHL3 (Uchl3) (Ubiquitin Carboxyl-terminal Esterase L3 (Ubiquitin Thiolesterase) (Uchl3))
-
Autre désignation
- UCHL3
-
Sujet
-
Name/Gene ID: UCHL3
Subfamily: Cysteine C12
Family: Protease
Synonyms: UCHL3, Ubiquitin thiolesterase, Ubiquitin thioesterase L3, UCH-L3 -
ID gène
- 7347
-
Pathways
- Feeding Behaviour, Positive Regulation of fat Cell Differentiation
Antigène
-