ATIC anticorps
Aperçu rapide pour ATIC anticorps (ABIN214223)
Antigène
Voir toutes ATIC AnticorpsReactivité
Hôte
Clonalité
Conjugué
Application
Clone
-
-
Specificité
- ATIC
-
Homologie
- Percent identity by BLAST analysis: Human, Gorilla, Orangutan, Gibbon, Monkey, Marmoset, Panda, Dog, Bovine, Horse, Rabbit, Pig, Xenopus, Drosophila, Beetle (100%) Mouse, Rat, Hamster, Bat, Opossum, Turkey, Chicken, Platypus, Stickleback, Mosquito (90%) Elephant, Salmon, Zebrafish, Seq squirt, Sea anemone, Ant, Nematode (80%).
-
Purification
- Affinity purified
-
Immunogène
-
Synthetic peptide from human ATIC. Percent identity by BLAST analysis: Human, Gorilla, Orangutan, Gibbon, Monkey, Marmoset, Panda, Dog, Bovine, Horse, Rabbit, Pig, Xenopus, Drosophila, Beetle (100%), Mouse, Rat, Hamster, Bat, Opossum, Turkey, Chicken, Platypus, Stickleback, Mosquito (90%), Elephant, Salmon, Zebrafish, Seq squirt, Sea anemone, Ant, Nematode (80%).
Type of Immunogen: Synthetic peptide -
Isotype
- IgG1
-
-
-
-
Indications d'application
-
Approved: IHC, IHC-P (15 μg/mL), WB
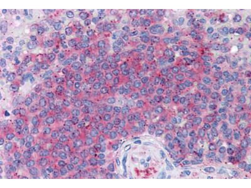
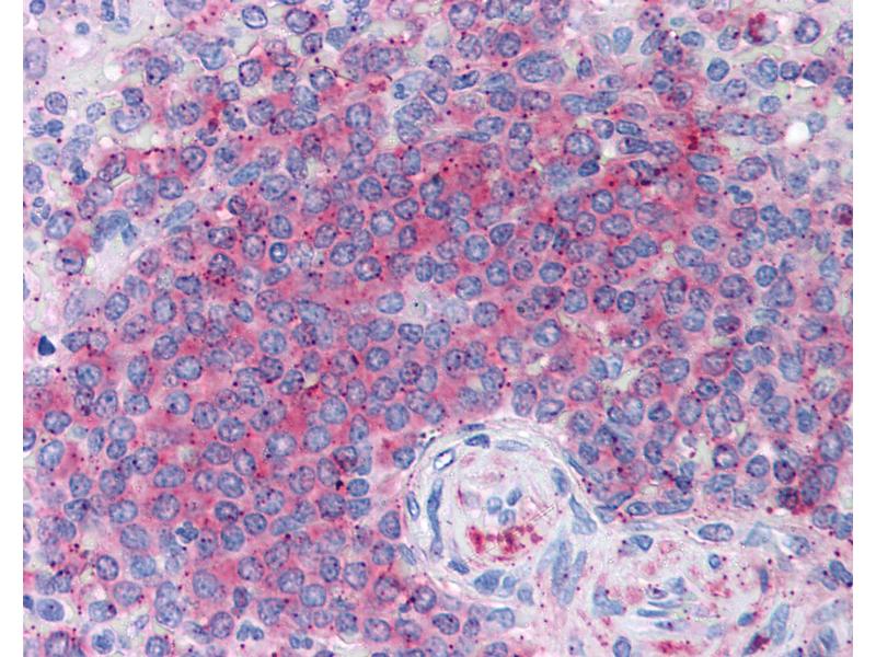
Usage: Immunohistochemistry: This antibody was validated for use in immunohistochemistry on a panel of 21 formalin-fixed, paraffin-embedded (FFPE) human tissues after heat induced antigen retrieval in pH 6.0 citrate buffer. After incubation with the primary antibody, slides were incubated with biotinylated secondary antibody, followed by alkaline phosphatase-streptavidin and chromogen. The stained slides were evaluated by a pathologist to confirm staining specificity. The optimal working concentration for this antibody was determined to be 15 μg/mL. -
Commentaires
-
Target Species of Antibody: Human
-
Restrictions
- For Research Use only
-
-
-
Format
- Liquid
-
Concentration
- Lot specific
-
Buffer
- Phosphate-buffered solution, pH 7.2, 0.09 % sodium azide at 0.5 mg/mL. Sourced in TCS.
-
Agent conservateur
- Sodium azide
-
Précaution d'utilisation
- This product contains Sodium azide: a POISONOUS AND HAZARDOUS SUBSTANCE which should be handled by trained staff only.
-
Conseil sur la manipulation
- Do not freeze.
-
Stock
- 4 °C
-
Stockage commentaire
- Store at 4°C. Do not freeze.
-
-
- ATIC (5-Aminoimidazole-4-Carboxamide Ribonucleotide Formyltransferase/IMP Cyclohydrolase (ATIC))
-
Autre désignation
- AICAR / ATIC
-
Sujet
-
Name/Gene ID: ATIC
Synonyms: ATIC, AICAR, AICARFT, IMPCHASE, PURH -
ID gène
- 471
-
UniProt
- P31939
Antigène
-