ILP-2 anticorps (N-Term)
Aperçu rapide pour ILP-2 anticorps (N-Term) (ABIN214413)
Antigène
Voir toutes ILP-2 (BIRC8) AnticorpsReactivité
Hôte
Clonalité
Conjugué
Application
-
-
Épitope
- N-Term
-
Purification
- Immunoaffinity purified
-
Isotype
- IgG
-
-
-
-
Indications d'application
-
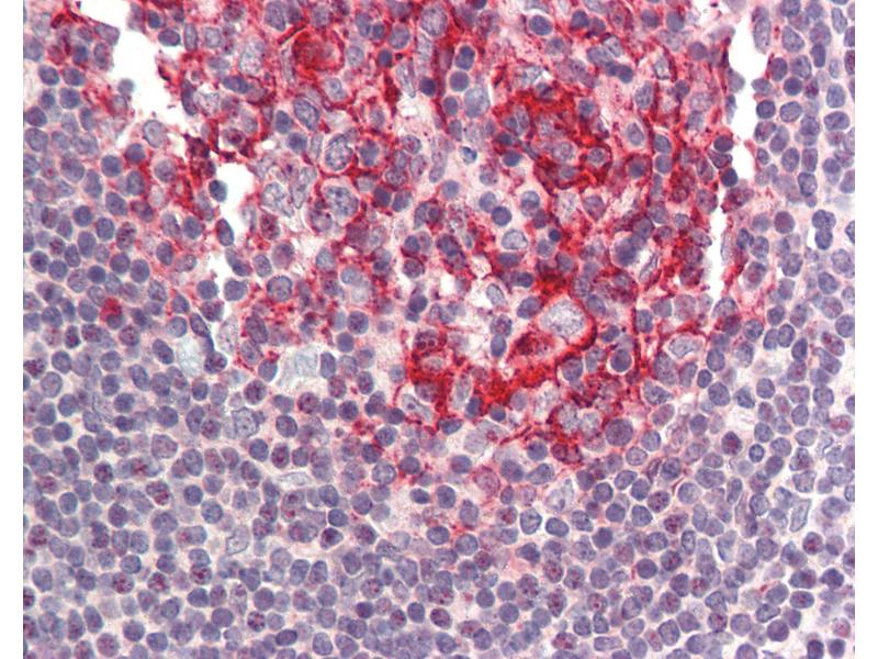
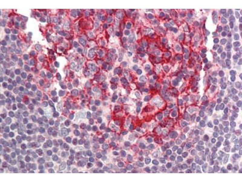
Approved: ICC, IHC, IHC-P (5 μg/mL), WB (1 - 2 μg/mL)
Usage: Immunohistochemistry: This antibody was validated for use in immunohistochemistry on a panel of 21 formalin-fixed, paraffin-embedded (FFPE) human tissues after heat induced antigen retrieval in pH 6.0 citrate buffer. After incubation with the primary antibody, slides were incubated with biotinylated secondary antibody, followed by alkaline phosphatase-streptavidin and chromogen. The stained slides were evaluated by a pathologist to confirm staining specificity. The optimal working concentration for this antibody was determined to be 5 μg/mL. -
Commentaires
-
Target Species of Antibody: Human
-
Restrictions
- For Research Use only
-
-
-
Format
- Liquid
-
Concentration
- Lot specific
-
Buffer
- PBS, 0.02 % sodium azide.
-
Agent conservateur
- Sodium azide
-
Précaution d'utilisation
- This product contains Sodium azide: a POISONOUS AND HAZARDOUS SUBSTANCE which should be handled by trained staff only.
-
Conseil sur la manipulation
- avoid freeze thaw cycles. Store undiluted.
-
Stock
- 4 °C,-20 °C
-
Stockage commentaire
- Store at 4°C for 3 months and -20°C, stable for up to 1 year. Avoid repeated freeze-thaw cycles.
-
Date de péremption
- 12 months
-
-
- ILP-2 (BIRC8) (Baculoviral IAP Repeat-Containing 8 (BIRC8))
-
Autre désignation
- BIRC8 / ILP2
-
Sujet
-
Name/Gene ID: BIRC8
Family: Apoptosis
Synonyms: BIRC8, HILP2, ILP-2, ILP2, IAP-like protein 2 -
ID gène
- 112401
-
UniProt
- Q96P09
Antigène
-