Tel:
+49 (0)241 95 163 153
Fax:
+49 (0)241 95 163 155
E-Mail:
orders@anticorps-enligne.fr

Anosmin anticorps (AA 438-454)

Cet anticorps Lapin Polyclonal détecte spécifiquement Anosmin dans ELISA, IHC et IHC (p). Il présente une réactivité avec des échantillons de Humain.
N° du produit ABIN214798
512,07 €
Plus frais de livraison 40,00 € et TVA
50 μg
Destination: France
Envoi sous 15 à 20 jours ouvrables

Aperçu rapide pour Anosmin anticorps (AA 438-454) (ABIN214798)

Antigène

Voir toutes Anosmin (ANOS1) Anticorps
Anosmin (ANOS1)

Reactivité

  • 13
  • 2
  • 2
Humain

Hôte

  • 12
  • 1
Lapin

Clonalité

  • 12
  • 1
Polyclonal

Conjugué

  • 8
  • 1
  • 1
  • 1
  • 1
  • 1
Cet anticorp Anosmin est non-conjugé

Application

  • 13
  • 8
  • 3
  • 2
  • 2
  • 1
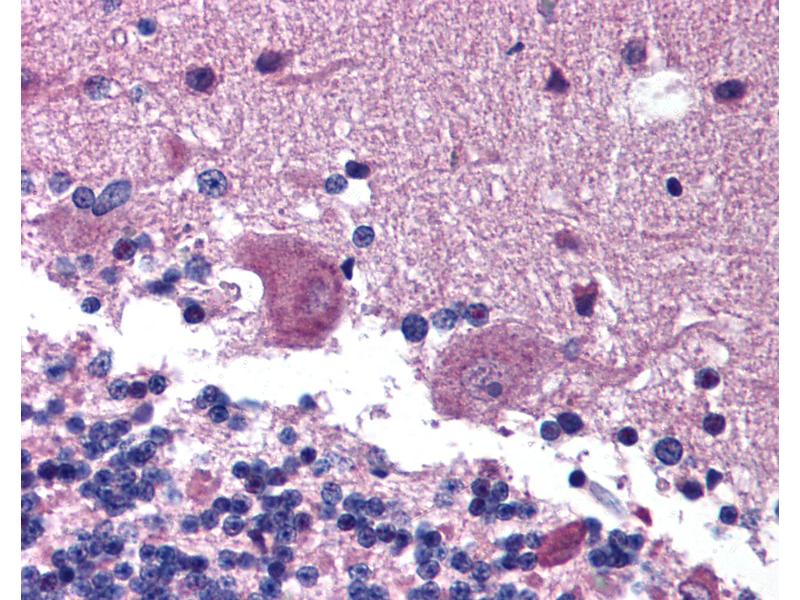
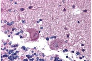
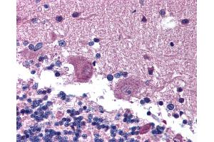
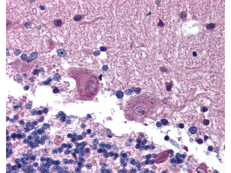
ELISA, Immunohistochemistry (IHC), Immunohistochemistry (Paraffin-embedded Sections) (IHC (p))
  • Épitope

    • 7
    • 1
    • 1
    • 1
    • 1
    • 1
    AA 438-454

    Purification

    Protein G purified

    Immunogène

    Synthetic peptide from human KAL1.

    Type of Immunogen: Synthetic peptide
  • Indications d'application

    Approved: ELISA (1:1000), IHC, IHC-P (5 μg/mL)

    Usage: Immunohistochemistry: This antibody was validated for use in immunohistochemistry on a panel of 21 formalin-fixed, paraffin-embedded (FFPE) human tissues after heat induced antigen retrieval in  pH 6.0 citrate buffer. After incubation with the primary antibody, slides were incubated with biotinylated secondary antibody, followed by alkaline phosphatase-streptavidin and chromogen. The stained slides were evaluated by a pathologist to confirm staining specificity. The optimal working concentration for this antibody was determined to be 5 μg/mL.

    Commentaires

    Target Species of Antibody: Human

    Restrictions

    For Research Use only
  • Format

    Liquid

    Concentration

    Lot specific

    Buffer

    PBS, 0.09 % sodium azide.

    Agent conservateur

    Sodium azide

    Précaution d'utilisation

    This product contains Sodium azide: a POISONOUS AND HAZARDOUS SUBSTANCE which should be handled by trained staff only.

    Conseil sur la manipulation

    Avoid repeat freeze-thaw cycles.

    Stock

    4 °C,-20 °C

    Stockage commentaire

    Short term: 4°C. Long term: Store at -20°C. Avoid freeze-thaw cycles.
  • Antigène

    Anosmin (ANOS1)

    Autre désignation

    ANOS1 / Anosmin

    Sujet

    Name/Gene ID: ANOS1

    Synonyms: ANOS1, ADMLX, Anosmin-1, HH1, KAL1, KAL, KALIG1, KMS, HHA, Kallmann syndrome 1 sequence, Kallmann syndrome protein, KALIG-1

    ID gène

    3730

    UniProt

    P23352
Vous êtes ici:
Chat with us!