CCDC146 anticorps
Aperçu rapide pour CCDC146 anticorps (ABIN2172414)
Antigène
Voir toutes CCDC146 AnticorpsReactivité
Hôte
Clonalité
Conjugué
Application
-
-
Homologie
- Human,Mouse,Rat,Dog,Cow,Sheep,Pig,Horse,Rabbit
-
Purification
- Purified by Protein A.
-
Immunogène
- KLH conjugated synthetic peptide derived from Human CCDC146
-
Isotype
- IgG
-
-
-
-
Indications d'application
-
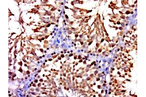
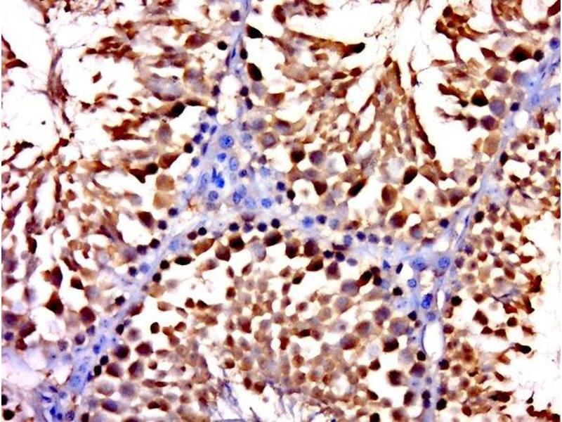
WB 1:100-1000
IHC-P 1:100-500
IF(IHC-P) 1:50-200 -
Restrictions
- For Research Use only
-
-
-
Format
- Liquid
-
Concentration
- 1 μg/μL
-
Buffer
- 0.01M TBS( pH 7.4) with 1 % BSA, 0.02 % Proclin300 and 50 % Glycerol.
-
Agent conservateur
- Sodium azide
-
Précaution d'utilisation
- This product contains Sodium azide: a POISONOUS AND HAZARDOUS SUBSTANCE, which should be handled by trained staff only.
-
Stock
- 4 °C,-20 °C
-
Stockage commentaire
- Shipped at 4°C. Store at -20°C for one year. Avoid repeated freeze/thaw cycles.
-
Date de péremption
- 12 months
-
-
- CCDC146 (Coiled-Coil Domain Containing 146 (CCDC146))
-
Autre désignation
- Ccdc146
-
Sujet
-
Synonyms: KIAA1505, CC146_HUMAN, Ccdc146, Coiled-coil domain-containing protein 146.
Background: CCDC146
Antigène
-