CCDC94 anticorps (AA 15-120)
Aperçu rapide pour CCDC94 anticorps (AA 15-120) (ABIN2172642)
Antigène
Voir toutes CCDC94 AnticorpsReactivité
Hôte
Clonalité
Conjugué
Application
-
-
Épitope
- AA 15-120
-
Réactivité croisée
- Souris, Rat
-
Homologie
- Human,Dog,Cow,Sheep,Pig,Horse,Chicken
-
Purification
- Purified by Protein A.
-
Immunogène
- KLH conjugated synthetic peptide derived from human CCDC94
-
Isotype
- IgG
-
-
-
-
Indications d'application
-
WB 1:300-5000
ELISA 1:500-1000
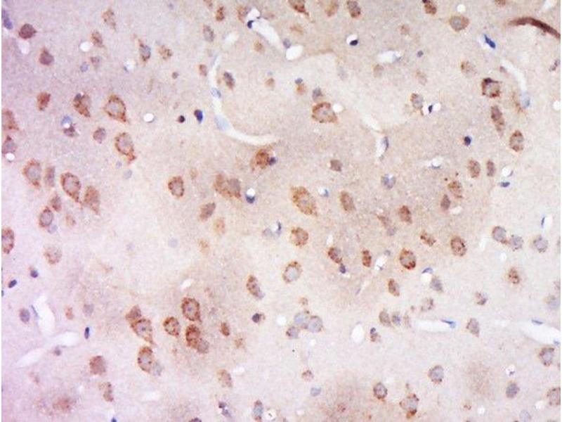
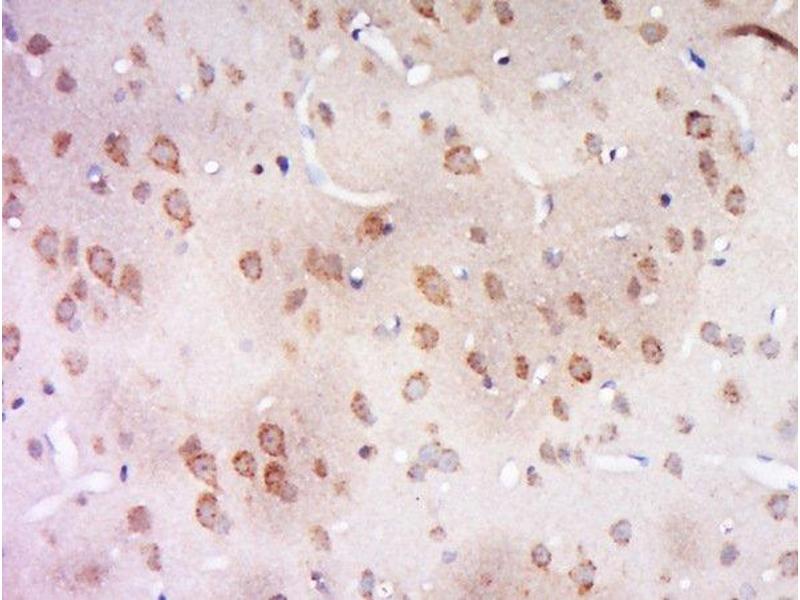
IHC-P 1:200-400
IHC-F 1:100-500
IF(IHC-P) 1:50-200
IF(IHC-F) 1:50-200
IF(ICC) 1:50-200 -
Restrictions
- For Research Use only
-
-
-
Format
- Liquid
-
Concentration
- 1 μg/μL
-
Buffer
- 0.01M TBS( pH 7.4) with 1 % BSA, 0.02 % Proclin300 and 50 % Glycerol.
-
Agent conservateur
- ProClin
-
Précaution d'utilisation
- This product contains ProClin: a POISONOUS AND HAZARDOUS SUBSTANCE, which should be handled by trained staff only.
-
Stock
- 4 °C,-20 °C
-
Stockage commentaire
- Shipped at 4°C. Store at -20°C for one year. Avoid repeated freeze/thaw cycles.
-
Date de péremption
- 12 months
-
-
- CCDC94 (Coiled-Coil Domain Containing 94 (CCDC94))
-
Autre désignation
- CCDC94
-
Sujet
-
Synonyms: Coiled coil domain containing protein 94, FLJ10374, MGC156684, CCD94_HUMAN.
Background: CCDC94
-
ID gène
- 55702
Antigène
-