COMMD9 anticorps (AA 11-100)
Aperçu rapide pour COMMD9 anticorps (AA 11-100) (ABIN2173321)
Antigène
Voir toutes COMMD9 AnticorpsReactivité
Hôte
Clonalité
Conjugué
Application
-
-
Épitope
- AA 11-100
-
Réactivité croisée
- Souris
-
Homologie
- Human,Rat,Dog,Cow,Sheep,Pig
-
Purification
- Purified by Protein A.
-
Immunogène
- KLH conjugated synthetic peptide derived from human COMMD9
-
Isotype
- IgG
-
-
-
-
Indications d'application
-
WB 1:300-5000
ELISA 1:500-1000
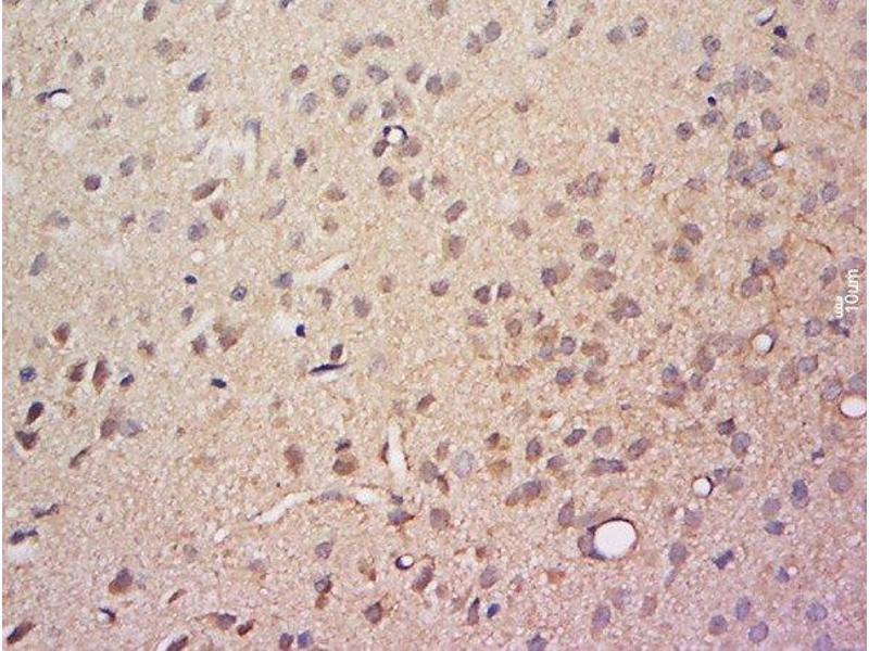
IHC-P 1:200-400
IHC-F 1:100-500
IF(IHC-P) 1:50-200
IF(IHC-F) 1:50-200
IF(ICC) 1:50-200 -
Restrictions
- For Research Use only
-
-
-
Format
- Liquid
-
Concentration
- 1 μg/μL
-
Buffer
- 0.01M TBS( pH 7.4) with 1 % BSA, 0.02 % Proclin300 and 50 % Glycerol.
-
Agent conservateur
- ProClin
-
Précaution d'utilisation
- This product contains ProClin: a POISONOUS AND HAZARDOUS SUBSTANCE, which should be handled by trained staff only.
-
Stock
- 4 °C,-20 °C
-
Stockage commentaire
- Shipped at 4°C. Store at -20°C for one year. Avoid repeated freeze/thaw cycles.
-
Date de péremption
- 12 months
-
-
- COMMD9 (COMM Domain Containing 9 (COMMD9))
-
Autre désignation
- Commd9
-
Sujet
-
Synonyms: COMD9_HUMAN, COMM domain-containing protein 9, COMMD9, HSPC166.
Background: COMMD9
-
ID gène
- 29099
Antigène
-