FRMD1 anticorps (AA 65-160)
Aperçu rapide pour FRMD1 anticorps (AA 65-160) (ABIN2174192)
Antigène
Reactivité
Hôte
Clonalité
Conjugué
Application
-
-
Épitope
- AA 65-160
-
Réactivité croisée
- Humain
-
Purification
- Purified by Protein A.
-
Immunogène
- KLH conjugated synthetic peptide derived from human FRMD1
-
Isotype
- IgG
-
-
-
-
Indications d'application
-
WB 1:300-5000
ELISA 1:500-1000
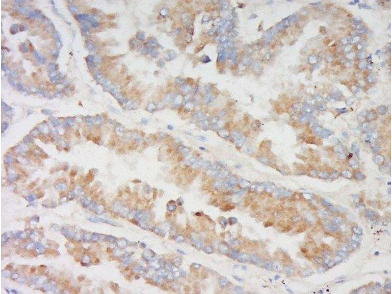
IHC-P 1:200-400
IHC-F 1:100-500
IF(IHC-P) 1:50-200
IF(IHC-F) 1:50-200
IF(ICC) 1:50-200 -
Restrictions
- For Research Use only
-
-
-
Format
- Liquid
-
Concentration
- 1 μg/μL
-
Buffer
- 0.01M TBS( pH 7.4) with 1 % BSA, 0.02 % Proclin300 and 50 % Glycerol.
-
Agent conservateur
- ProClin
-
Précaution d'utilisation
- This product contains ProClin: a POISONOUS AND HAZARDOUS SUBSTANCE, which should be handled by trained staff only.
-
Stock
- 4 °C,-20 °C
-
Stockage commentaire
- Shipped at 4°C. Store at -20°C for one year. Avoid repeated freeze/thaw cycles.
-
Date de péremption
- 12 months
-
-
- FRMD1 (FERM Domain Containing 1 (FRMD1))
-
Autre désignation
- Frmd1
-
Sujet
-
Synonyms: FERM domain containing 1, FERM domain-containing protein 1, FLJ00181, FLJ22615, FLJ40260, FRMD1, FRMD1_HUMAN, OTTHUMP00000219079, OTTHUMP00000219098, RP11-164L23.1, bA164L23.1, DKFZp434O0117.
Background: No data available.
-
ID gène
- 79981
Antigène
-