Tel:
+49 (0)241 95 163 153
Fax:
+49 (0)241 95 163 155
E-Mail:
orders@anticorps-enligne.fr

ABHD4 anticorps (Internal Region)

Cet anticorps Chèvre Polyclonal détecte spécifiquement ABHD4 dans ELISA et IHC. Il présente une réactivité avec des échantillons de Humain.
N° du produit ABIN238570
488,25 €
Plus frais de livraison 40,00 € et TVA
100 μg
Destination: France
Envoi sous 5 à 8 jours ouvrables

Aperçu rapide pour ABHD4 anticorps (Internal Region) (ABIN238570)

Antigène

Voir toutes ABHD4 Anticorps
ABHD4 (Abhydrolase Domain Containing 4 (ABHD4))

Reactivité

  • 38
  • 23
  • 4
  • 2
  • 2
  • 2
  • 1
  • 1
  • 1
Humain

Hôte

  • 40
Chèvre

Clonalité

  • 40
Polyclonal

Conjugué

  • 14
  • 3
  • 2
  • 2
  • 1
  • 1
  • 1
  • 1
  • 1
  • 1
  • 1
  • 1
  • 1
  • 1
  • 1
  • 1
  • 1
  • 1
  • 1
  • 1
  • 1
  • 1
  • 1
Cet anticorp ABHD4 est non-conjugé

Application

  • 16
  • 14
  • 13
  • 13
  • 12
  • 5
  • 3
  • 2
  • 1
ELISA, Immunohistochemistry (IHC)

Classe de qualité

Verified
  • Épitope

    • 15
    • 8
    • 3
    • 1
    • 1
    • 1
    • 1
    • 1
    • 1
    • 1
    • 1
    • 1
    Internal Region

    Fonction

    ABHD4 (aa 177 to 187)

    Séquence

    RPTNPSEIRA P

     Réactivité croisée

    Chien, Humain, Souris

    Purification

    Purified from goat serum by ammonium sulphate precipitation followed by antigen affinity chromatography using the immunizing peptide.

    Immunogène

    Peptide with sequence C-RPTNPSEIRAP, from the internal region of the protein sequence according to NP_071343.2.

    Isotype

    IgG
  • Indications d'application

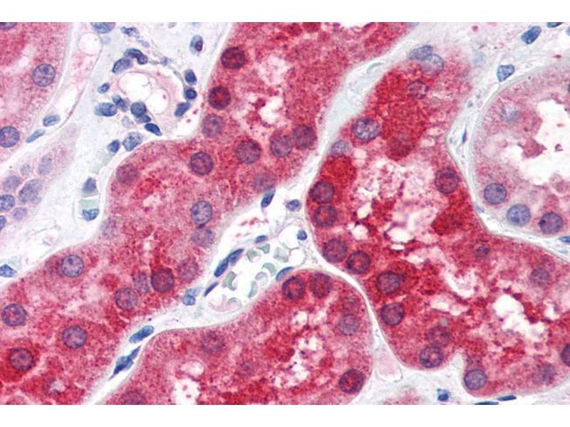
    Immunohistochemistry: Paraffin embedded Human Kidney. Recommended concentration: 3.75 μg/mL.

    Western Blot: Preliminary experiments gave an approx 48 kDa band in Human Brain (Cerebellum, Cerebral Cortex and Frontal Cortex) lysates after 1 μg/mL antibody staining. Please note that currently we cannot find an explanation in the literature for the ban

    Peptide ELISA: antibody detection limit dilution 1:4000.

    Restrictions

    For Research Use only
  • Format

    Liquid

    Concentration

    0.5 mg/mL

    Buffer

    Supplied at 0.5 mg/mL in Tris saline, 0.02 % sodium azide, pH 7.3 with 0.5 % bovine serum albumin.

    Agent conservateur

    Sodium azide

    Précaution d'utilisation

    This product contains Sodium azide: a POISONOUS AND HAZARDOUS SUBSTANCE which should be handled by trained staff only.

    Conseil sur la manipulation

    Minimize freezing and thawing.

    Stock

    -20 °C

    Stockage commentaire

    Aliquot and store at -20°C, with minimal freeze/thawing. A working aliquot may be refrigerated at 4°C for a few weeks and still remain viable.
  • Antigène

    ABHD4 (Abhydrolase Domain Containing 4 (ABHD4))

    Autre désignation

    ABHD4

    Sujet

    ABHD4, abhydrolase domain containing 4, FLJ12816

    ID gène

    63874, 105501

    NCBI Accession

    NP_071343
Vous êtes ici:
Chat with us!