Tel:
+49 (0)241 95 163 153
Fax:
+49 (0)241 95 163 155
E-Mail:
orders@anticorps-enligne.fr

KLRF1 anticorps

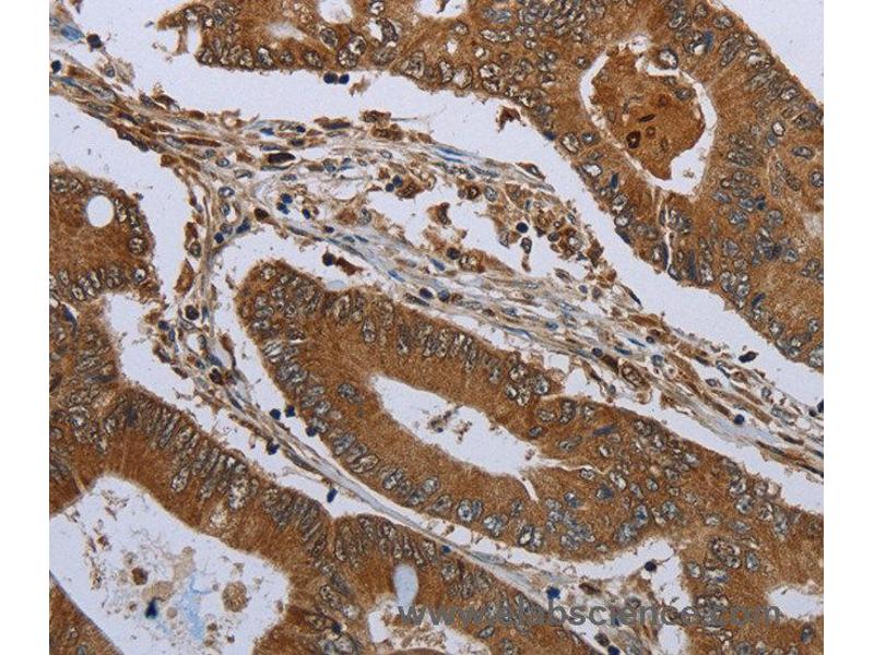
L’anticorps anti-KLRF1 Polyclonal Lapin est utilisé pour la détection de KLRF1 dans des échantillons de Humain, Souris et Rat. Il a été validé pour ELISA, WB et IHC.
N° du produit ABIN2434904
493,90 €
Plus frais de livraison 40,00 € et TVA
Destination: France
Envoi sous 10 à 13 jours ouvrables

Aperçu rapide pour KLRF1 anticorps (ABIN2434904)

Antigène

Voir toutes KLRF1 Anticorps
KLRF1 (Killer Cell Lectin-Like Receptor Subfamily F, Member 1 (KLRF1))

Reactivité

Humain, Souris, Rat

Hôte

  • 12
  • 6
Lapin

Clonalité

  • 13
  • 5
Polyclonal

Conjugué

  • 8
  • 2
  • 1
  • 1
  • 1
  • 1
  • 1
  • 1
  • 1
  • 1
Cet anticorp KLRF1 est non-conjugé

Application

  • 5
  • 4
  • 4
  • 1
  • 1
  • 1
  • 1
  • 1
  • 1
  • 1
ELISA, Western Blotting (WB), Immunohistochemistry (IHC)
Vous êtes ici:
Chat with us!