Tel:
+49 (0)241 95 163 153
Fax:
+49 (0)241 95 163 155
E-Mail:
orders@anticorps-enligne.fr

SLC5A4 anticorps (C-Term)

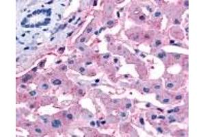
Cet anticorps Lapin Polyclonal détecte spécifiquement SLC5A4 dans IHC. Il présente une réactivité avec des échantillons de Humain et Gorilla.
N° du produit ABIN2469310
800,25 €
Plus frais de livraison 40,00 € et TVA
0.05 mg
Destination: France
Envoi sous 6 à 9 jours ouvrables

Aperçu rapide pour SLC5A4 anticorps (C-Term) (ABIN2469310)

Antigène

Voir toutes SLC5A4 Anticorps
SLC5A4 (Solute Carrier Family 5 (Low Affinity Glucose Cotransporter), Member 4 (SLC5A4))

Reactivité

  • 16
  • 4
  • 3
  • 3
  • 2
  • 2
  • 1
  • 1
  • 1
  • 1
Humain, Gorilla

Hôte

  • 19
Lapin

Clonalité

  • 19
Polyclonal

Conjugué

  • 16
  • 1
  • 1
  • 1
Cet anticorp SLC5A4 est non-conjugé

Application

  • 12
  • 10
  • 2
  • 2
  • 1
  • 1
Immunohistochemistry (IHC)
Vous êtes ici:
Chat with us!