EVI2B anticorps (AA 151-250)
Aperçu rapide pour EVI2B anticorps (AA 151-250) (ABIN2559469)
Antigène
Voir toutes EVI2B AnticorpsReactivité
Hôte
Clonalité
Conjugué
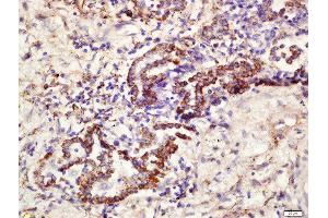
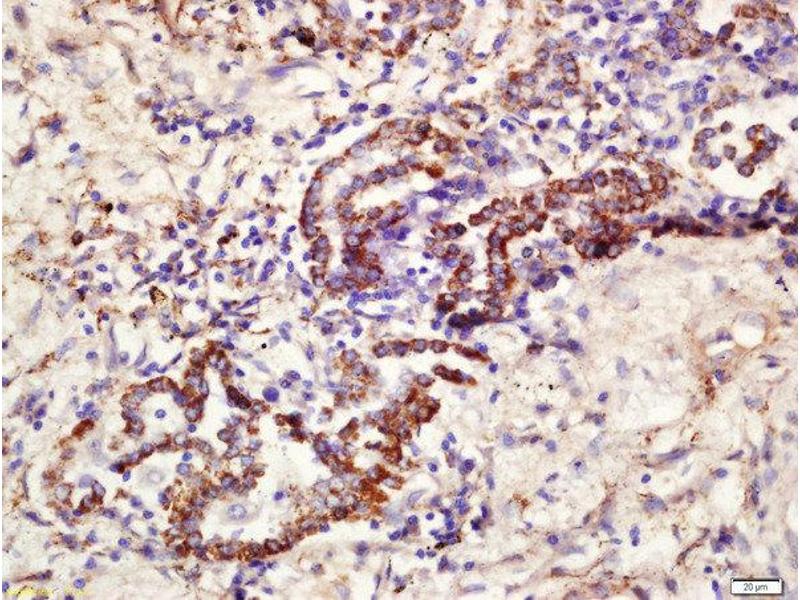
Application
-
-
Épitope
- AA 151-250
-
Réactivité croisée
- Humain, Souris
-
Purification
- Purified by Protein A.
-
Immunogène
- KLH conjugated synthetic peptide derived from human CD361
-
Isotype
- IgG
-
-
-
-
Indications d'application
-
WB 1:300-5000
ELISA 1:500-1000
IHC-P 1:200-400
IHC-F 1:100-500
IF(IHC-P) 1:50-200
IF(IHC-F) 1:50-200
IF(ICC) 1:50-200
ICC 1:100-500 -
Restrictions
- For Research Use only
-
-
-
Format
- Liquid
-
Concentration
- 1 μg/μL
-
Buffer
- 0.01M TBS( pH 7.4) with 1 % BSA, 0.02 % Proclin300 and 50 % Glycerol.
-
Agent conservateur
- ProClin
-
Précaution d'utilisation
- This product contains ProClin: a POISONOUS AND HAZARDOUS SUBSTANCE, which should be handled by trained staff only.
-
Stock
- 4 °C,-20 °C
-
Stockage commentaire
- Shipped at 4°C. Store at -20°C for one year. Avoid repeated freeze/thaw cycles.
-
Date de péremption
- 12 months
-
-
- EVI2B (Ecotropic Viral Integration Site 2B (EVI2B))
-
Autre désignation
- CD361
-
Sujet
-
Synonyms: EVDB, CD361, D17S376, Protein EVI2B, Ecotropic viral integration site 2B protein homolog, EVI-2B, EVI2B
Background: Protein EVI2B, Ecotropic viral integration site 2B protein homolog, EVI-2B, CD361, EVI2B, EVDB0
-
ID gène
- 2124
-
UniProt
- P34910
Antigène
-