ATG101 anticorps (AA 121-218)
Aperçu rapide pour ATG101 anticorps (AA 121-218) (ABIN2559562)
Antigène
Voir toutes ATG101 (C12orf44) AnticorpsReactivité
Hôte
Clonalité
Conjugué
Application
-
-
Épitope
- AA 121-218
-
Réactivité croisée
- Humain
-
Homologie
- Mouse,Rat,Cow,Horse,Chicken,Rabbit
-
Purification
- Purified by Protein A.
-
Immunogène
- KLH conjugated synthetic peptide derived from human ATG101
-
Isotype
- IgG
-
-
-
-
Indications d'application
-
WB 1:300-5000
ELISA 1:500-1000
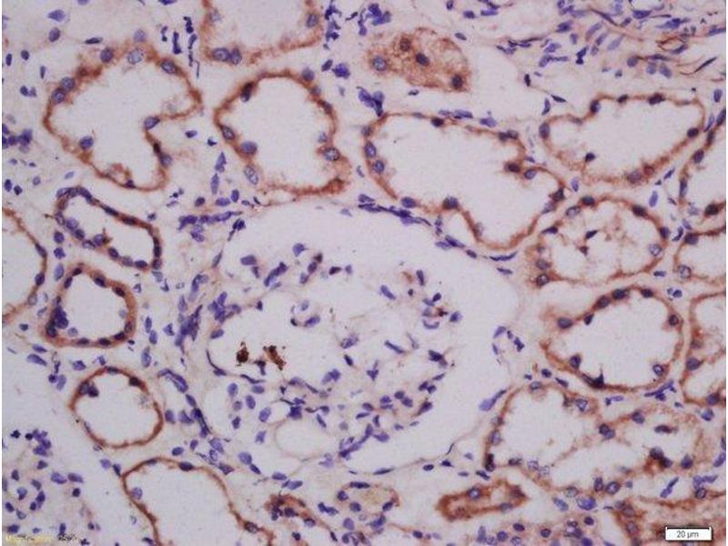
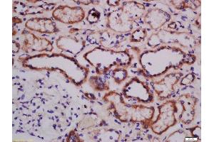
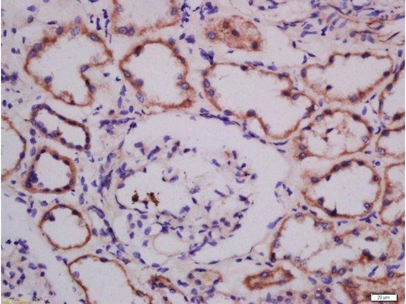
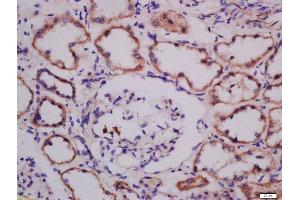
IHC-P 1:200-400
IHC-F 1:100-500
IF(IHC-P) 1:50-200
IF(IHC-F) 1:50-200
IF(ICC) 1:50-200
ICC 1:100-500 -
Restrictions
- For Research Use only
-
-
-
Format
- Liquid
-
Concentration
- 1 μg/μL
-
Buffer
- 0.01M TBS( pH 7.4) with 1 % BSA, 0.02 % Proclin300 and 50 % Glycerol.
-
Agent conservateur
- ProClin
-
Précaution d'utilisation
- This product contains ProClin: a POISONOUS AND HAZARDOUS SUBSTANCE, which should be handled by trained staff only.
-
Stock
- 4 °C,-20 °C
-
Stockage commentaire
- Shipped at 4°C. Store at -20°C for one year. Avoid repeated freeze/thaw cycles.
-
Date de péremption
- 12 months
-
-
- ATG101 (C12orf44) (Chromosome 12 Open Reading Frame 44 (C12orf44))
-
Autre désignation
- ATG101
-
Sujet
-
Synonyms: C12orf44, Autophagy-related protein 101, ATG101, PP894
Background: Autophagy factor required for autophagosome formation. Stabilizes ATG13, protecting it from proteasomal degradation.
-
ID gène
- 60673
-
UniProt
- Q9BSB4
-
Pathways
- Autophagy
Antigène
-